症例詳細
Case detail
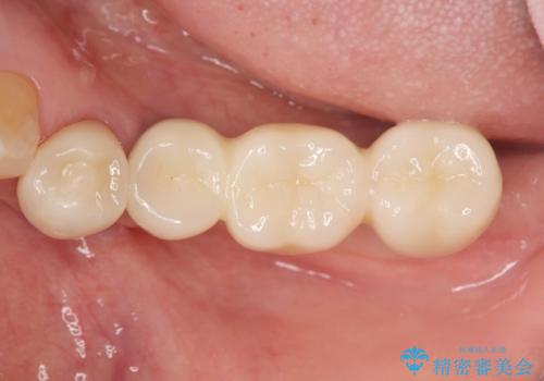
臼歯部の欠損 インプラント補綴
治療症例の内容
- 診療科目
- 治療カテゴリ
- 担当医
- 大元洋佑(ドクタープロフィール)
- 患者様
- 60代女性
- 治療期間
- 9ヶ月
- 治療回数
- 5-10回
- 治療計画
- 「奥歯がたくさん無くなってしまい、食事が楽しめるようにしっかりとかめるようにしてほしい。」という希望で来院されました。
入れ歯かインプラント治療の選択肢をご案内ししっかりと咀嚼機能を回復できる、インプラント治療を希望されました。
- 費用(概算)
- 88万円 (インプラント・アバットメント・クラウン代全て含んで)費用は治療当時の料金となります
治療について
骨の量が比較的十分に保たれていたため、インプラントを埋入し1ヶ月後には仮歯を入れてしっかりと咬合機能を回復することができました。
インプラント治療の注意事項(リスク・副作用など)
- 外科手術のため、術後に痛みや腫れ、違和感を伴います
- メンテナンスを怠ったり喫煙により、お口の中に大きな悪影響を及ぼすインプラント周囲炎等にかかる可能性があります
- 糖尿病、肝硬変、心臓病等の場合、インプラント治療ができない可能性があります
- 高血圧、貧血・不整脈等の場合、インプラント治療後に治癒不全を招く可能性があります
- 自費診療(保険適用外治療)となります
当サイトの内容、テキスト、画像等の無断転載、複製、複写、盗用を固く禁じます。













