症例詳細
Case detail
マウスピース矯正では難しい治療にも対応します 歯を抜かない矯正
治療症例の内容
- 診療科目
- 治療カテゴリ
- 担当医
- 井上季実子(ドクタープロフィール)
- 患者様
- 30代女性
- 矯正装置
- インビザライン
- 治療期間
- 2年
- 治療回数
- 10-30回
- 治療計画
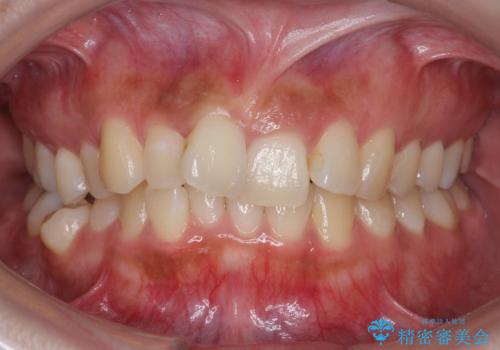
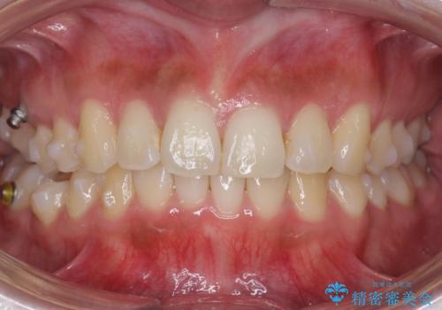
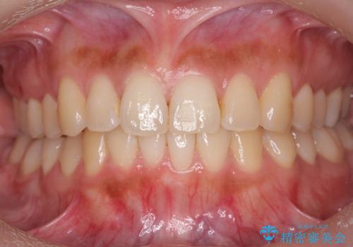
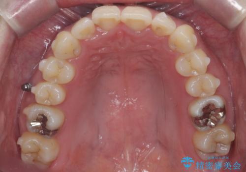
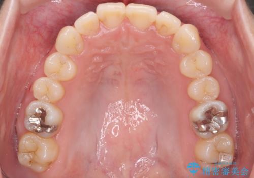
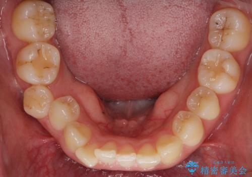
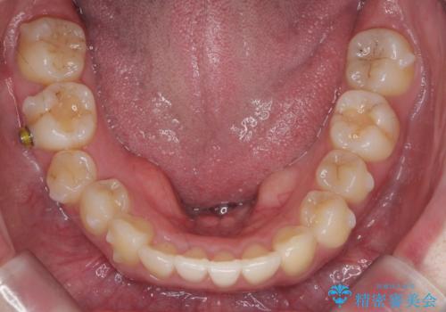
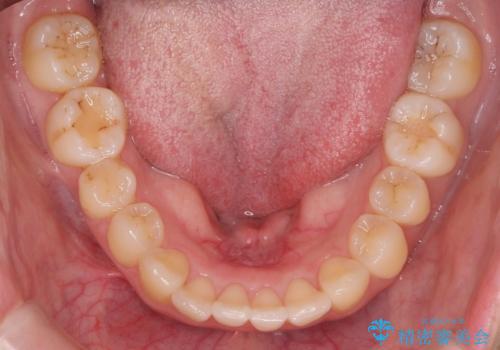
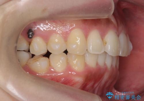
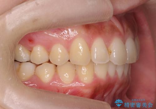
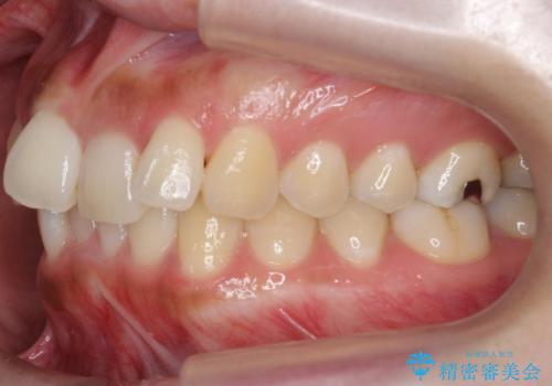
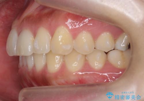
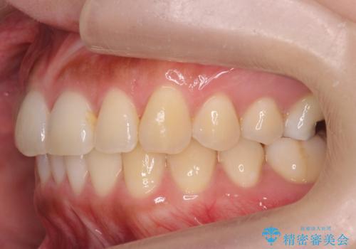
- 前歯のがたつきを主訴に来院。
前歯は目立つのでワイヤー矯正は絶対にしたくないとのことでした。
右上の奥歯を後ろに送り、前歯が出っ歯にならないように並べました。
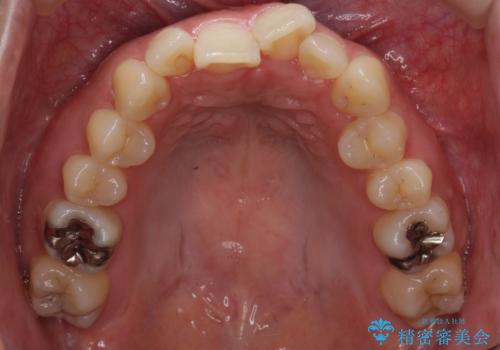
また、右下の奥歯に一部目立たないように部分的なワイヤー矯正を行い、右下の奥歯が反対咬合になっていたのもしっかり中に入れて治療しています。
- 費用(概算)
- 110万円費用は治療当時の料金となります
治療について
奥歯の反対咬合を治すのはインビザラインではかなり難しいのですが、しっかり治療できました。
マウスピース矯正の注意事項(リスク・副作用など)
- 口腔内・歯並びの状態によっては対応できない場合があります
- マウスピース型矯正装置の長時間装着(1日20時間以上)が必須です
- 治療計画通りに進めるためには、患者様の意志が重要になります
- 矯正治療後の保定が不十分だと後戻り(元の位置に戻ろうとする動き)をします
- 薬機法対象外の矯正歯科装置のため医薬品副作用被害救済制度の対象外となる場合があります
- 自費診療(保険適用外)となります
ワイヤー矯正の注意事項(リスク・副作用など)
- 治療中は違和感や痛みが起こることがあります
- 症状により、抜歯が必要な場合があります
- 治療中は歯磨きがしにくくなるため、虫歯や歯周病になりやすくなります
- 矯正治療後の保定が不十分だと後戻り(元の位置に戻ろうとする動き)をします
- 自費診療(保険適用外)となります
当サイトの内容、テキスト、画像等の無断転載、複製、複写、盗用を固く禁じます。



















