症例詳細
Case detail
インビザライン単独での抜歯矯正治療
治療症例の内容
- 診療科目
- 治療カテゴリ
- 担当医
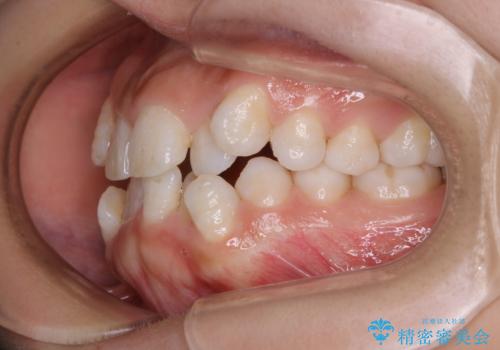
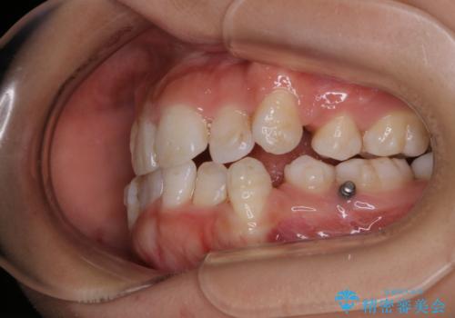
- 患者様
- 20代女性
- 矯正装置
- インビザラインFULL
- 治療期間
- 2年
- 治療回数
- 10-30回
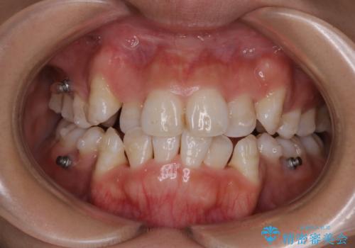
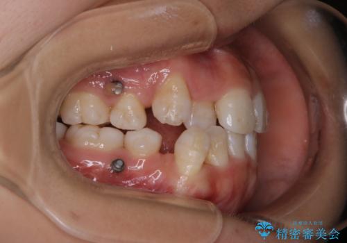
- 治療計画
- 当院にてインビザライン治療を行っていた同僚の方からのご紹介でいらした方です。楽器を演奏されるとの事で、インビザラインによる矯正治療をご希望されました。治療の途中で一時的にワイヤー矯正に切り替える可能性もあることもご了承頂いた上で治療を行いました。
- 費用(概算)
- 92万円(税込み)費用は治療当時の料金となります
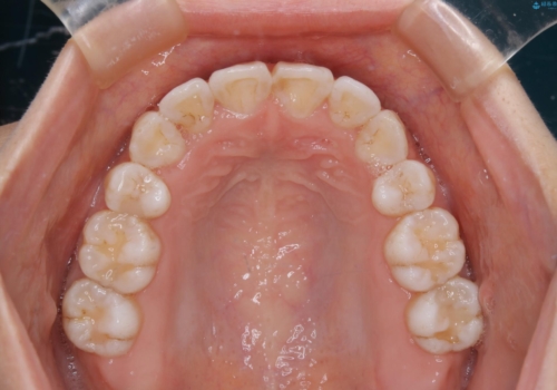
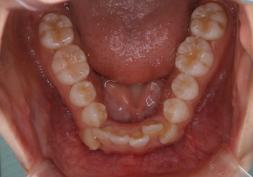
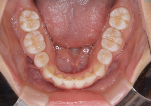
治療について
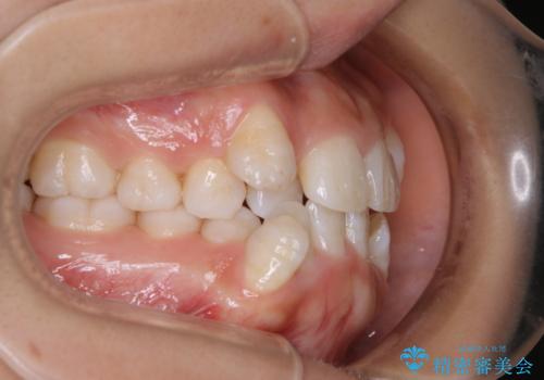
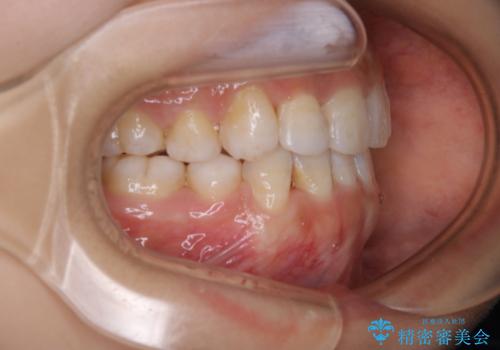
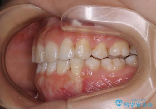
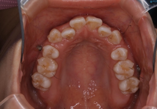
1日20時間以上、正しくインビザラインを使用して頂いたおかげで、ワイヤーに切り替えることなく矯正治療を終了することが出来ました。抜歯症例でしたが比較的短期間で見た目が劇的に改善し、大変喜んでいただけました。
マウスピース矯正の注意事項(リスク・副作用など)
- 口腔内・歯並びの状態によっては対応できない場合があります
- マウスピース型矯正装置の長時間装着(1日20時間以上)が必須です
- 治療計画通りに進めるためには、患者様の意志が重要になります
- 矯正治療後の保定が不十分だと後戻り(元の位置に戻ろうとする動き)をします
- 薬機法対象外の矯正歯科装置のため医薬品副作用被害救済制度の対象外となる場合があります
- 自費診療(保険適用外)となります
当サイトの内容、テキスト、画像等の無断転載、複製、複写、盗用を固く禁じます。



















