症例詳細
Case detail
ナイトガードによる歯の予防
治療症例の内容
- 診療科目
- 治療カテゴリ
- 担当医
- 青山卓弘(ドクタープロフィール)
- 患者様
- 40代女性
- 治療期間
- 1ヶ月
- 治療回数
- 2-5回
- 治療計画
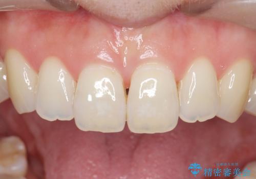
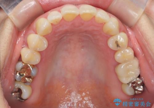
- 食いしばりがひどくてセラミックの被せ物が欠けたとの事で来院。
欠けたセラミックを新しいセラミックに変えた後、今後欠けたり割れたりしないように
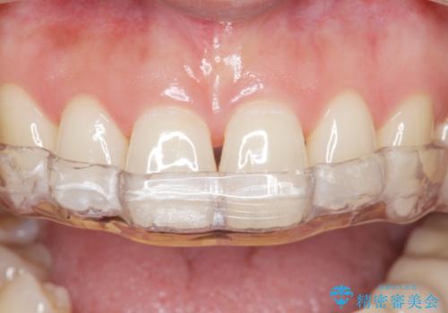
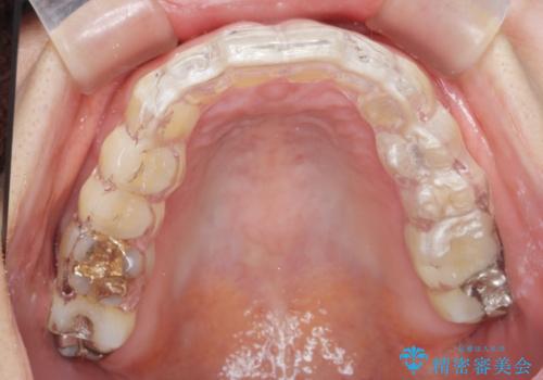
ナイトガード(自費)を作製しました。
- 費用(概算)
- 自費ナイトガード 3.3万円費用は治療当時の料金となります
治療について
保険のナイトガードに比べて自費のナイトガードは割れる心配がないです。
また噛み合わせの歯と調整をして全体に均一に当たるように調整を行うので噛んだとき力が全体的に分散して歯の負担も減ります。
その他の注意事項(リスク・副作用など)
- 担当歯科医師、歯科衛生士又は医院スタッフから受けた説明・注意事項をよくご確認ください
- 医療を提供するに当たり、適切な説明を行い、患者様の十分な理解を得るよう努めております
当サイトの内容、テキスト、画像等の無断転載、複製、複写、盗用を固く禁じます。








