症例詳細
Case detail
奥歯の深い黒ずみ セラミックインレーでの治療
治療症例の内容
- 診療科目
- 治療カテゴリ
- 担当医
- 岡田康成(ドクタープロフィール)
- 患者様
- 20代女性
- 治療期間
- 1ヶ月
- 治療回数
- 2-5回
- 治療計画
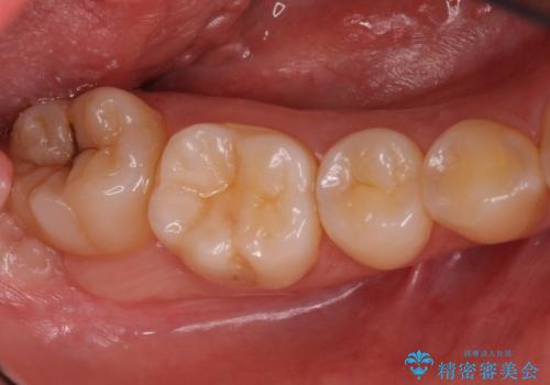
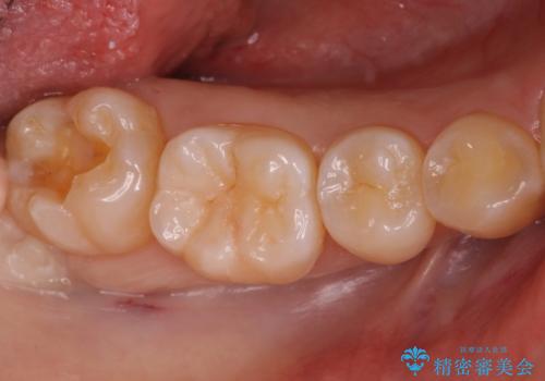
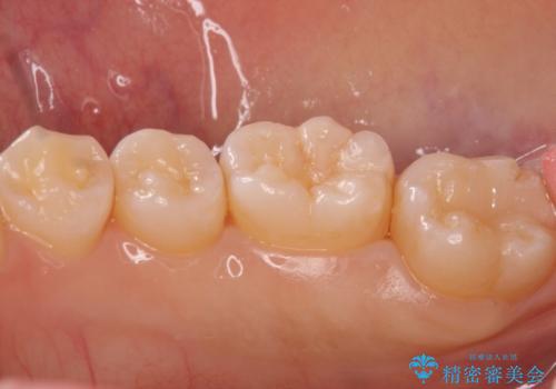
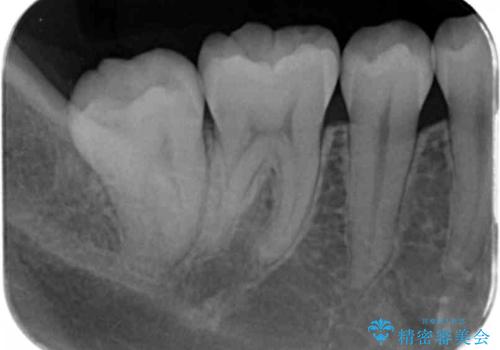
- 奥歯の溝の黒ずみが気になるとのことで来院されました。
変色しない材料をご希望されたためセラミックインレーでの治療となりました。
- 費用(概算)
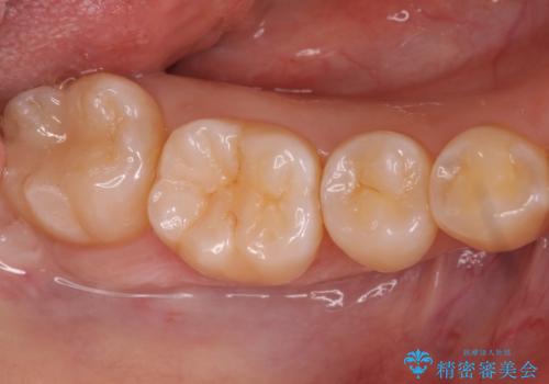
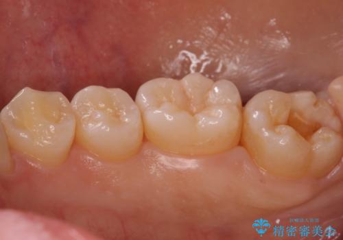
- 右下7 セラミックインレー 77,000円費用は治療当時の料金となります
治療について
樹脂は変色していきますがセラミックは変色しない材料であるため、長く使いたい方にお勧めです。
セラミック治療の注意事項(リスク・副作用など)
- 天然歯を削ります
- 硬い素材は天然歯を傷つけてしまう場合があります
- かみ合わせや歯ぎしりが強すぎる方はセラミックが割れてしまう可能性があります
- 自費診療(保険適用外治療)となります
当サイトの内容、テキスト、画像等の無断転載、複製、複写、盗用を固く禁じます。








