症例詳細
Case detail
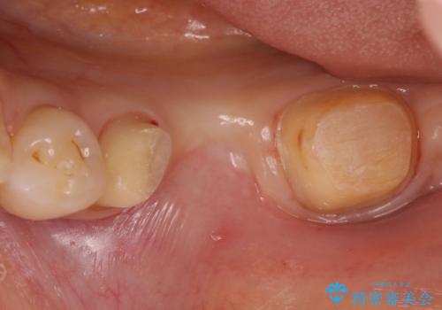
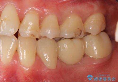
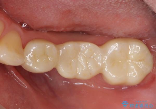
奥歯を抜歯して白いブリッジに
治療症例の内容
- 診療科目
- 治療カテゴリ
- 担当医
- 井上季実子(ドクタープロフィール)
- 患者様
- 20代女性
- 治療期間
- 6ヶ月
- 治療回数
- 2-5回
- 治療計画
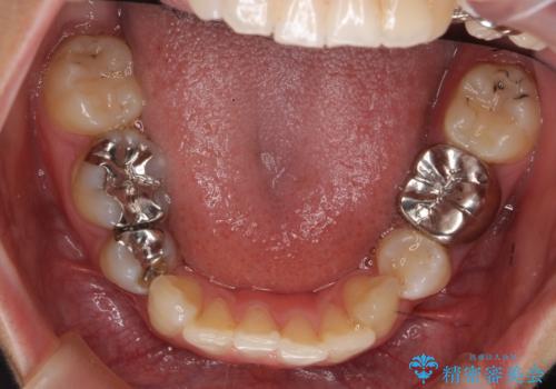
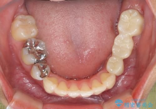
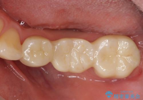
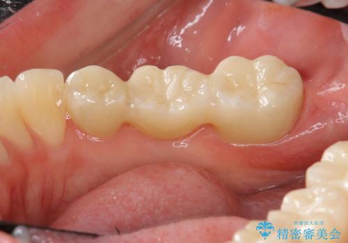
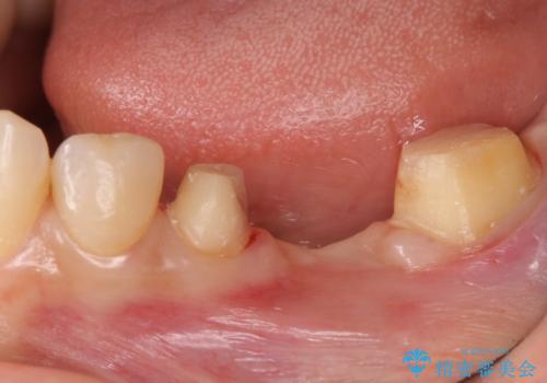
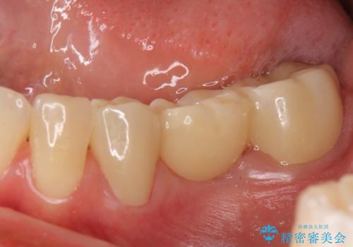
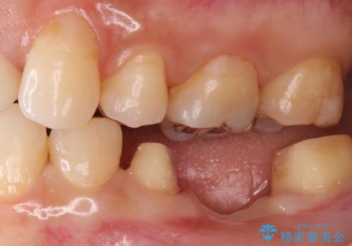
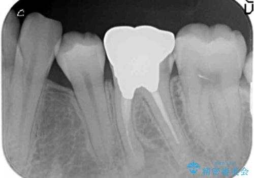
- 左下の銀歯の状態が悪く抜歯してブリッジにした患者様です。
抜歯してからブリッジの仮歯をすぐ入れるため、歯がない期間はほとんどありません。
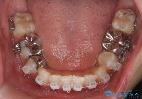
全体矯正治療の経過は以下です
https://seimitsushinbi.jp/case/104145/
- 費用(概算)
- 36.3万円 (ジルコニアクラウン 10万円×3、仮歯1万円×3)費用は治療当時の料金となります
治療について
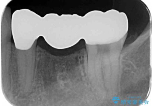
途中全体矯正をはさみ、根の向きが並行になった状態でブリッジを入れることができました。
セラミック治療の注意事項(リスク・副作用など)
- 天然歯を削ります
- 硬い素材は天然歯を傷つけてしまう場合があります
- かみ合わせや歯ぎしりが強すぎる方はセラミックが割れてしまう可能性があります
- 自費診療(保険適用外治療)となります
当サイトの内容、テキスト、画像等の無断転載、複製、複写、盗用を固く禁じます。














