症例詳細
Case detail
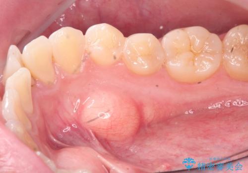
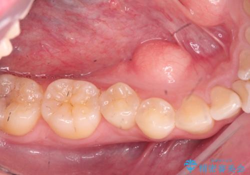
マウスピース矯正前に行う骨隆起の除去
治療症例の内容
- 担当医
- 大元洋佑(ドクタープロフィール)
- 患者様
- 30代女性
- 治療期間
- 1日
- 治療回数
- 1回
- 治療計画
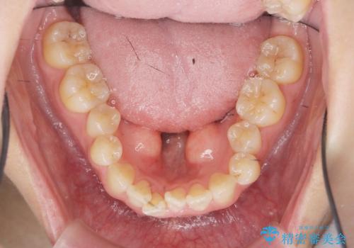
- マウスピース矯正を行うにあたり、舌のスペースが狭くなってしまうことから骨隆起の除去を希望されました。
骨隆起の除去は30分ほどの小手術で終了します。
- 費用(概算)
- 3.3万円費用は治療当時の料金となります
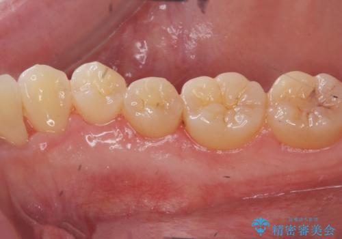
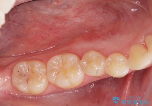
治療について
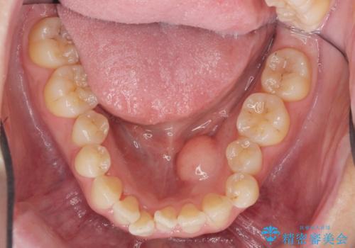
舌のスペースが広くなったと喜んでいただくことができました。
反対側も除去を予定しています。
外科処置の注意事項(リスク・副作用など)
- 外科手術のため、術後に出血、痛みや腫れ、違和感を伴います
- 口腔内の状態によっては適応できないことがあります
当サイトの内容、テキスト、画像等の無断転載、複製、複写、盗用を固く禁じます。









