症例詳細
Case detail
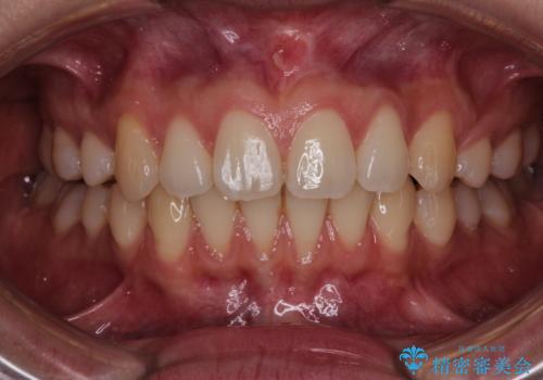
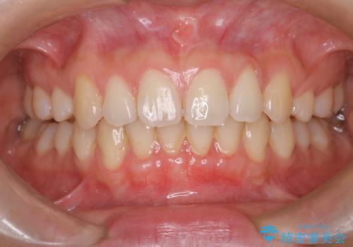
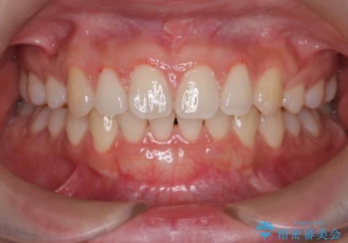
【歯肉退縮】歯茎の移植を行なった症例。
治療症例の内容
- 診療科目
- 治療カテゴリ
- 担当医
- 河口智英(ドクタープロフィール)
- 患者様
- 20代女性
- 治療期間
- 1日
- 治療回数
- 1回
- 治療計画
- 歯茎が下がったことを主訴に来院された患者さんです。
手術を行い歯茎がきれいに治り大変満足されました。
- 費用(概算)
- 28万円(1歯7万円)費用は治療当時の料金となります
治療について
術後痛みが3〜7日続くことがあります。
今回はエムドゲインを使用しています。
外科処置の注意事項(リスク・副作用など)
- 外科手術のため、術後に出血、痛みや腫れ、違和感を伴います
- 口腔内の状態によっては適応できないことがあります
当サイトの内容、テキスト、画像等の無断転載、複製、複写、盗用を固く禁じます。








