症例詳細
Case detail
銀歯を白くしたい
治療症例の内容
- 診療科目
- 治療カテゴリ
- 担当医
- 岡田康成(ドクタープロフィール)
- 患者様
- 50代女性
- 治療期間
- 1ヶ月
- 治療回数
- 2-5回
- 治療計画
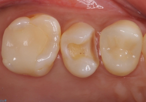
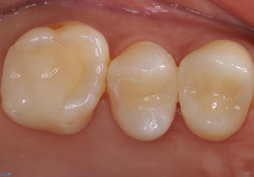
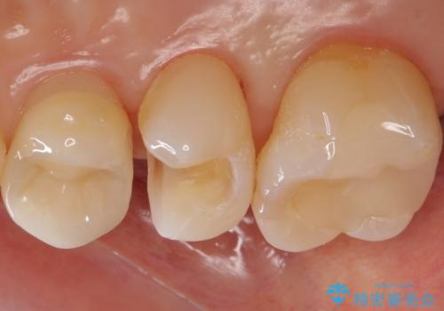
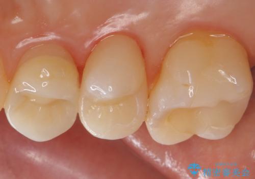
- 銀の詰め物を白くしたいとのことで来院されました。
セラミックインレーでの治療を行いました。
- 費用(概算)
- 右上5 セラミックインレー 77,000円×1本費用は治療当時の料金となります
治療について
残る歯の厚みが確保されている場合はインレーでの修復が可能です。
セラミック治療の注意事項(リスク・副作用など)
- 天然歯を削ります
- 硬い素材は天然歯を傷つけてしまう場合があります
- かみ合わせや歯ぎしりが強すぎる方はセラミックが割れてしまう可能性があります
- 自費診療(保険適用外治療)となります
当サイトの内容、テキスト、画像等の無断転載、複製、複写、盗用を固く禁じます。








