症例詳細
Case detail
歯と歯の間の虫歯 セラミックインレーでの治療
治療症例の内容
- 診療科目
- 治療カテゴリ
- 担当医
- 岡田康成(ドクタープロフィール)
- 患者様
- 20代女性
- 治療期間
- 1ヶ月
- 治療回数
- 2-5回
- 治療計画
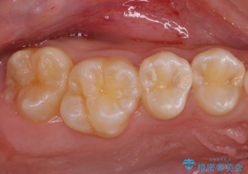
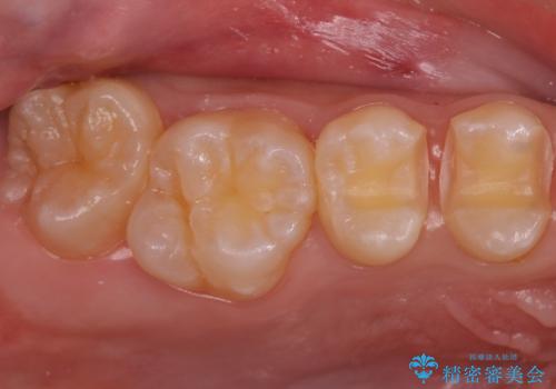
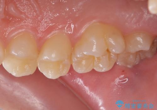
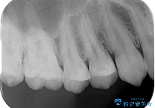
- 検査の結果奥歯と奥歯の間に虫歯が確認されました。
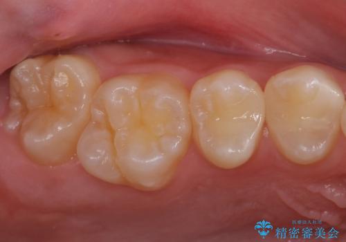
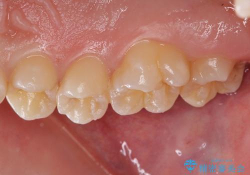
虫歯を取り除いた後、セラミックインレーで修復していきます。
- 費用(概算)
- 右上45 セラミックインレー 77,000円×2本費用は治療当時の料金となります
治療について
歯と歯の間は虫歯の好発部位になっています。
外からは確認しにくくても中で大きく虫歯が広がっていることはよくあります。
適合の良い修復物を装着することで今後の虫歯リスクを抑えることができます。
セラミック治療の注意事項(リスク・副作用など)
- 天然歯を削ります
- 硬い素材は天然歯を傷つけてしまう場合があります
- かみ合わせや歯ぎしりが強すぎる方はセラミックが割れてしまう可能性があります
- 自費診療(保険適用外治療)となります
当サイトの内容、テキスト、画像等の無断転載、複製、複写、盗用を固く禁じます。








