症例詳細
Case detail
折れてしまった奥歯 装着感の良い入れ歯治療
治療症例の内容
- 担当医
- 藤巻太一朗(ドクタープロフィール)
- 患者様
- 50代男性
- 治療期間
- 3ヶ月
- 治療回数
- 2-5回
- 治療計画
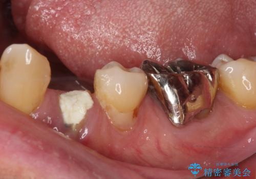
- 近医にて抜歯が必要と言われたとのことで来院された患者様です。
顕微鏡下で確認したところ、歯根に及ぶ破折線が認められたため、抜歯を行うこととしました。
インプラント治療をお勧めしましたが、取り扱いや手入れが煩雑でも良いとのことで、可撤性義歯(入れ歯)にて補綴治療を行うこととしました。
- 費用(概算)
- 治療費の目安: 15万円(税込)費用は治療当時の料金となります
治療について
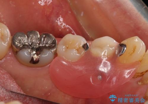
近年の入れ歯は、クラスプという金属のバネのない、ノンクラスプデンチャーが主流となってきており、金属がほとんど使用されなくなっています。しかし、両隣の歯にぶら下がる部分には金属によるフック(レスト)を用いることが、咬み合わせや周辺の歯の安定に大きく寄与するため、今回もレストのみに金属を使用したノンクラスプデンチャーを製作しました。
入れ歯の注意事項(リスク・副作用など)
- ブリッジやインプラントと比較して、色が合いづらい、見た目の違和感があります
- ブリッジやインプラントと比較して、話しにくい、舌が当たる等の違和感があります
- 慣れるまで微調整で何度か通って頂くことがあります
- 就寝時や食後に毎回取り外して、清掃する必要があります
- 自費診療(保険適用外)となります
当サイトの内容、テキスト、画像等の無断転載、複製、複写、盗用を固く禁じます。












