症例詳細
Case detail
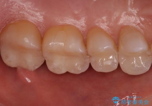
銀歯と樹脂の詰め物のやり替え セラミックインレーでの治療
治療症例の内容
- 診療科目
- 治療カテゴリ
- 担当医
- 岡田康成(ドクタープロフィール)
- 患者様
- 40代男性
- 治療期間
- 1ヶ月
- 治療回数
- 2-5回
- 治療計画
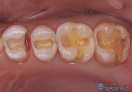
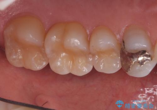
- 奥歯の詰め物のやり替え希望で来院されました。
残る歯の量が多かったためすべてインレーでの治療となりました。
- 費用(概算)
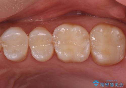
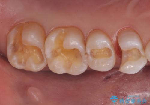
- 左上4567 セラミックインレー 7,7000円×4本 費用は治療当時の料金となります
治療について
笑った時にチラついていた銀歯がなくなり大変喜んでいただけました。
セラミックは樹脂よりも変色しにくいため見た目が気になる方には特におすすめです。
この方は詰め物が割れてしまうのを防ぐためにナイトガードも作成しました。
セラミック治療の注意事項(リスク・副作用など)
- 天然歯を削ります
- 硬い素材は天然歯を傷つけてしまう場合があります
- かみ合わせや歯ぎしりが強すぎる方はセラミックが割れてしまう可能性があります
- 自費診療(保険適用外治療)となります
当サイトの内容、テキスト、画像等の無断転載、複製、複写、盗用を固く禁じます。








