症例詳細
Case detail
歯と歯の間の虫歯 セラミックインレーでの治療
治療症例の内容
- 診療科目
- 治療カテゴリ
- 担当医
- 岡田康成(ドクタープロフィール)
- 患者様
- 20代男性
- 治療期間
- 1ヶ月
- 治療回数
- 2-5回
- 治療計画
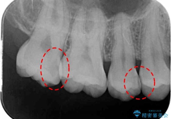
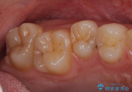
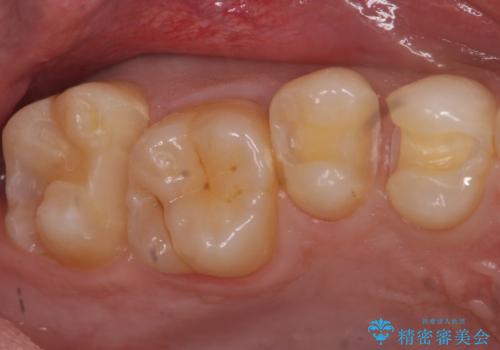
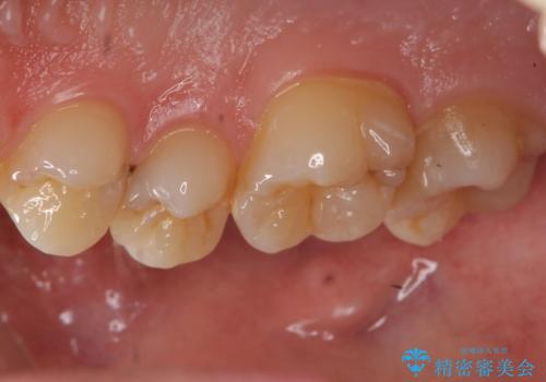
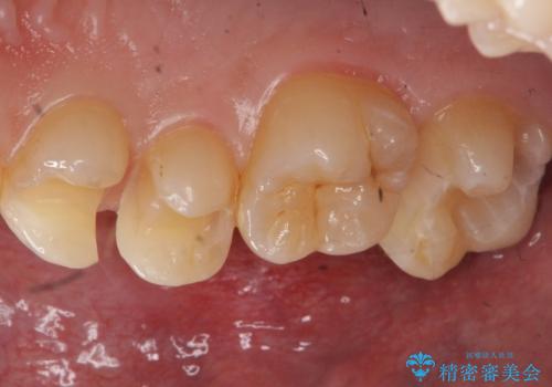
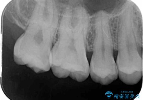
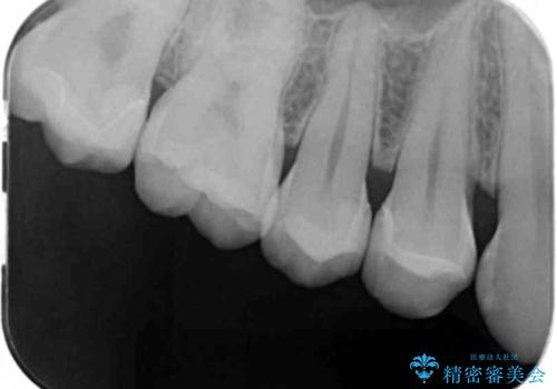
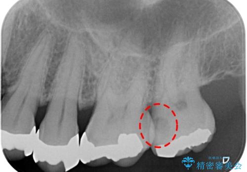
- 検査の結果左上の歯と歯の間に虫歯が発見された患者様です。
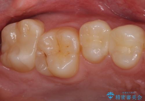
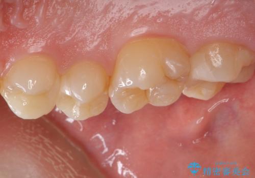
 虫歯の除去後セラミックインレーでの修復処置をしていきます。
- 費用(概算)
- 右上457 セラミックインレー 77,000円×3本費用は治療当時の料金となります
治療について
歯と歯の間は虫歯の好発部位とされています。
適合の良いインレーでの修復をすることで再発を防止します。
セラミック治療の注意事項(リスク・副作用など)
- 天然歯を削ります
- 硬い素材は天然歯を傷つけてしまう場合があります
- かみ合わせや歯ぎしりが強すぎる方はセラミックが割れてしまう可能性があります
- 自費診療(保険適用外治療)となります
当サイトの内容、テキスト、画像等の無断転載、複製、複写、盗用を固く禁じます。








 
                       
                                                          







 
                   
                   
                  