症例詳細
Case detail
奥歯の虫歯 セラミックインレーでの治療
治療症例の内容
- 診療科目
- 治療カテゴリ
- 担当医
- 岡田康成(ドクタープロフィール)
- 患者様
- 20代女性
- 治療期間
- 1ヶ月
- 治療回数
- 2-5回
- 治療計画
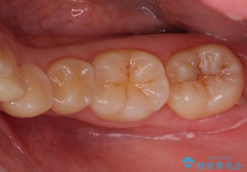
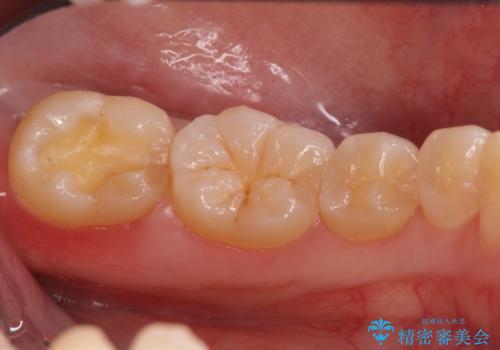
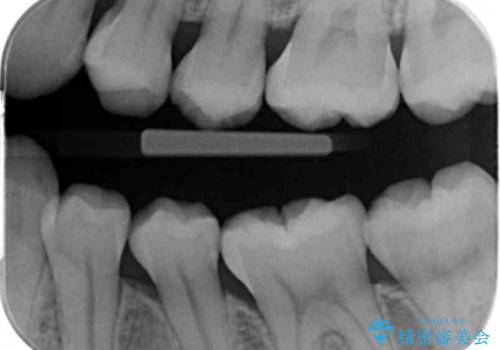
- 下の奥歯の黒ずみが気になるとのことで来院されました。
検査の結果咬む面に虫歯があることがわかりました。
- 費用(概算)
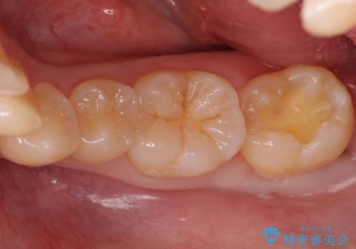
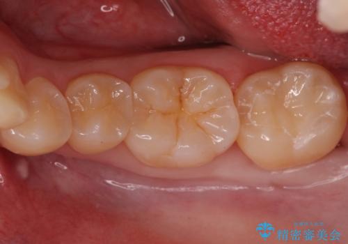
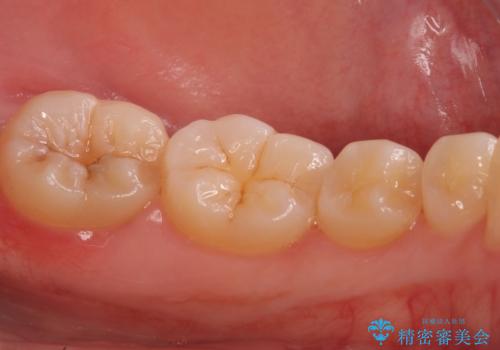
- 左下7 セラミックインレー 77,000円費用は治療当時の料金となります
治療について
削る前は小さな虫歯に見えますが、歯の中で進行しつつある虫歯でした。
虫歯が大きくなると必要な治療が増えてえしまうため早期発見、早期治療を行うことが大事になってきます。
セラミック治療の注意事項(リスク・副作用など)
- 天然歯を削ります
- 硬い素材は天然歯を傷つけてしまう場合があります
- かみ合わせや歯ぎしりが強すぎる方はセラミックが割れてしまう可能性があります
- 自費診療(保険適用外治療)となります
当サイトの内容、テキスト、画像等の無断転載、複製、複写、盗用を固く禁じます。








