症例詳細
Case detail
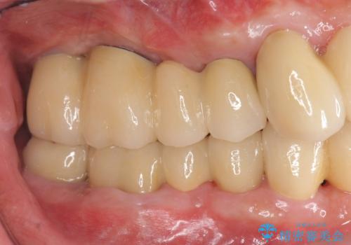
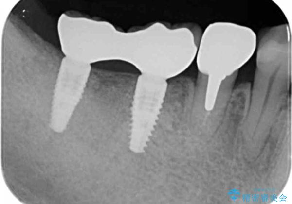
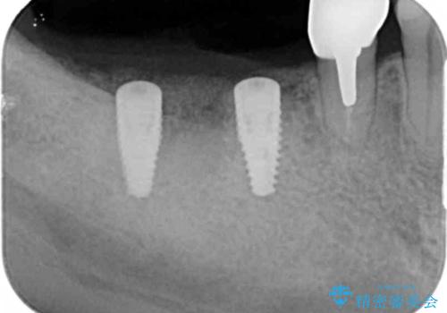
くいしばりで割れたブリッジの支台歯 インプラント再補綴
治療症例の内容
- 診療科目
- 担当医
- 大元洋佑(ドクタープロフィール)
- 患者様
- 40代女性
- 治療期間
- 10ヶ月
- 治療回数
- 5-10回
- 治療計画
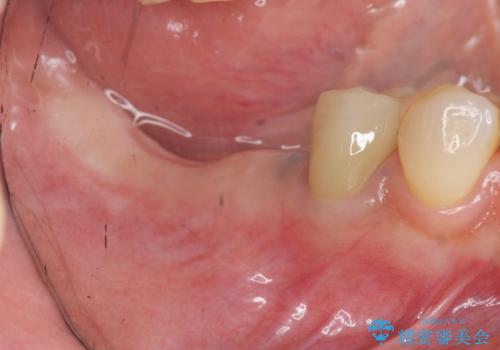
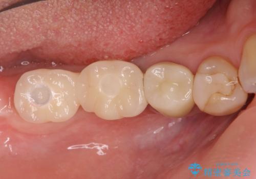
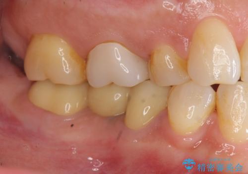
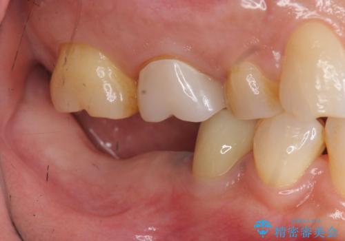
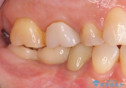
- 「数年前に入れたブリッジがぐらぐらする、診て欲しい。」と来院されました。
ブリッジを支える歯が割れてしまい、抜歯が必要であることと、骨の大きな吸収が見られました。
インプラント治療を行うにあたり周囲に骨を造成することで安定して噛める環境の整備を計画します。
- 費用(概算)
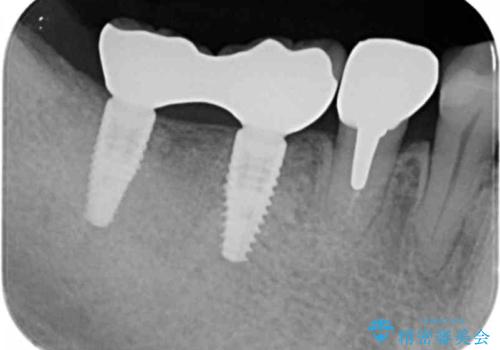
- 77万円(インプラント×2 アバットメント×2 ジルコニアクラウン×2 骨の造成)費用は治療当時の料金となります
治療について
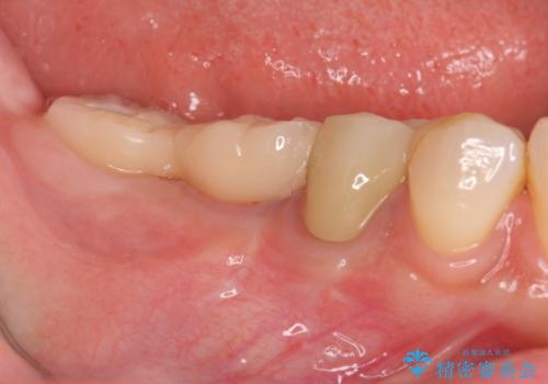
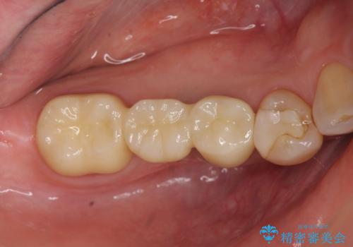
今回はインプラント埋入時に固定が得られたので同時に骨の造成を行い治療を進めることができました。
インプラント治療の注意事項(リスク・副作用など)
- 外科手術のため、術後に痛みや腫れ、違和感を伴います
- メンテナンスを怠ったり喫煙により、お口の中に大きな悪影響を及ぼすインプラント周囲炎等にかかる可能性があります
- 糖尿病、肝硬変、心臓病等の場合、インプラント治療ができない可能性があります
- 高血圧、貧血・不整脈等の場合、インプラント治療後に治癒不全を招く可能性があります
- 自費診療(保険適用外治療)となります
当サイトの内容、テキスト、画像等の無断転載、複製、複写、盗用を固く禁じます。






















