症例詳細
Case detail
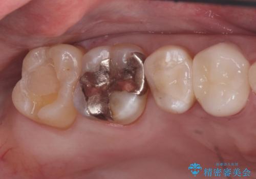
奥の歯に穴が空いている
治療症例の内容
- 診療科目
- 治療カテゴリ
- 担当医
- 青山卓弘(ドクタープロフィール)
- 患者様
- 20代女性
- 治療期間
- 1ヶ月
- 治療回数
- 2-5回
- 治療計画
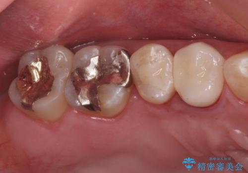
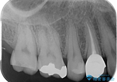
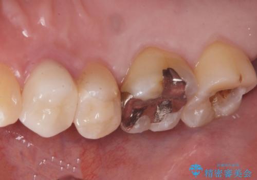
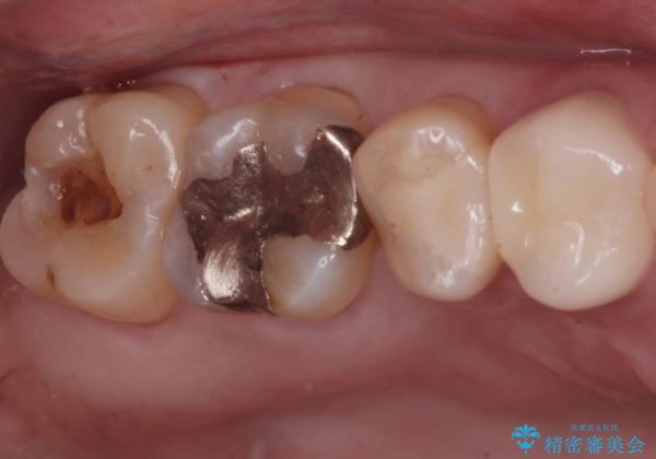
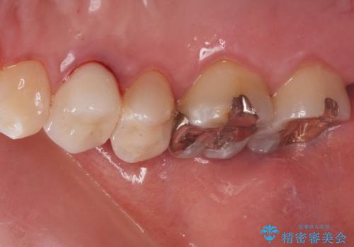
- 奥の歯に穴が空いているとの事で来院。
拡大鏡下で虫歯を全て除去しゴールドインレーにて治療しました。
- 費用(概算)
- ゴールドインレー 7.7万円費用は治療当時の料金となります
治療について
ゴールドインレーはメタルインレーに比べて、歯と詰め物の隙間が生じにくため
虫歯菌が侵入することなく、虫歯の再発のリスクが低いです。
PGA(ゴールド)クラウン、インレーの注意事項(リスク・副作用など)
- インレーおよびクラウンは脱離するリスクがあります
- 形成量はセラミックより少ないですが、歯の形成、修復後に歯に症状が出ることがあります
- 自費診療(保険適用外治療)となります
その他の注意事項(リスク・副作用など)
- 担当歯科医師、歯科衛生士又は医院スタッフから受けた説明・注意事項をよくご確認ください
- 医療を提供するに当たり、適切な説明を行い、患者様の十分な理解を得るよう努めております
当サイトの内容、テキスト、画像等の無断転載、複製、複写、盗用を固く禁じます。








