症例詳細
Case detail
[奥歯がなくて噛めない] インプラントによる咬合回復
治療症例の内容
- 診療科目
- 治療カテゴリ
- 担当医
- 大元洋佑(ドクタープロフィール)
- 患者様
- 40代女性
- 治療期間
- 10ヶ月
- 治療回数
- 5-10回
- 治療計画
- 奥歯を喪失し、食事がうまくできないことの改善希望され来院されました。
奥歯がないので義歯(入れ歯)、もしくはインプラント治療を提案し、しっかり噛みたいとの希望からインプラントを用いての咬合回復を計画しました。
- 費用(概算)
- 144万円費用は治療当時の料金となります
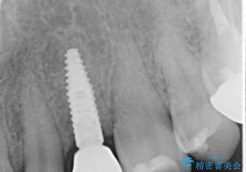
インプラント治療について
インプラントは奥歯がない場合に噛み合わせを回復できる、義歯(入れ歯)に変わる有用な手段です。
しかし、長期的な予後を満たす要件としてインプラントが歯周病菌に感染しないこと(清掃性)、安定した咬合,安定したインプラント周囲の組織(骨・歯肉)を獲得することが重要です。
今回インプラント周囲には毎時に骨の増成、2次手術時に角化歯肉の移植を行うことで清掃性を高め安定した環境を得ることができています。
インプラント治療の注意事項(リスク・副作用など)
- 外科手術のため、術後に痛みや腫れ、違和感を伴います
- メンテナンスを怠ったり喫煙により、お口の中に大きな悪影響を及ぼすインプラント周囲炎等にかかる可能性があります
- 糖尿病、肝硬変、心臓病等の場合、インプラント治療ができない可能性があります
- 高血圧、貧血・不整脈等の場合、インプラント治療後に治癒不全を招く可能性があります
- 自費診療(保険適用外治療)となります
当サイトの内容、テキスト、画像等の無断転載、複製、複写、盗用を固く禁じます。

![[奥歯がなくて噛めない] インプラントによる咬合回復の治療前](https://seimitsushinbi.jp/wp/wp-content/uploads/2017/10/562410536ed46b3a99847c30cedc9c7c-500x350.jpg)
![[奥歯がなくて噛めない] インプラントによる咬合回復の治療中](https://seimitsushinbi.jp/wp/wp-content/uploads/2017/10/763aa19a709ba7057ccc29da3a9251ac-500x350.jpg)
![[奥歯がなくて噛めない] インプラントによる咬合回復の治療後](https://seimitsushinbi.jp/wp/wp-content/uploads/2017/10/d6a7f884a256c78f48777967173455ca-500x350.jpg)
![[奥歯がなくて噛めない] インプラントによる咬合回復の治療前](https://seimitsushinbi.jp/wp/wp-content/uploads/2017/10/CI5-500x350.jpg)
![[奥歯がなくて噛めない] インプラントによる咬合回復の治療中](https://seimitsushinbi.jp/wp/wp-content/uploads/2017/10/2dc4d36a7a2a9638b1b8192677c46f02-500x350.jpg)
![[奥歯がなくて噛めない] インプラントによる咬合回復の治療後](https://seimitsushinbi.jp/wp/wp-content/uploads/2017/10/CI33-500x350.jpg)
![[奥歯がなくて噛めない] インプラントによる咬合回復の治療前](https://seimitsushinbi.jp/wp/wp-content/uploads/2017/10/CI10-500x350.jpg)
![[奥歯がなくて噛めない] インプラントによる咬合回復の治療中](https://seimitsushinbi.jp/wp/wp-content/uploads/2017/10/fd215c71adc27189d1fa93532337f1b4-500x350.jpg)
![[奥歯がなくて噛めない] インプラントによる咬合回復の治療後](https://seimitsushinbi.jp/wp/wp-content/uploads/2017/10/CI40-500x350.jpg)
![[奥歯がなくて噛めない] インプラントによる咬合回復の治療前](https://seimitsushinbi.jp/wp/wp-content/uploads/2017/10/eed2284658a0eb9c0b6ca67632565f36-500x350.jpg)
![[奥歯がなくて噛めない] インプラントによる咬合回復の治療中](https://seimitsushinbi.jp/wp/wp-content/uploads/2017/10/00d54ac2d7921d7ee5197c2b2f4e1c12-500x350.jpg)
![[奥歯がなくて噛めない] インプラントによる咬合回復の治療後](https://seimitsushinbi.jp/wp/wp-content/uploads/2017/10/1b8704dd368c3e6123ec6332ec9ae24b-500x350.jpg)
![[奥歯がなくて噛めない] インプラントによる咬合回復の治療前](https://seimitsushinbi.jp/wp/wp-content/uploads/2017/10/a935f0380a3b1ef8195d461f97904483-500x350.jpg)
![[奥歯がなくて噛めない] インプラントによる咬合回復の治療中](https://seimitsushinbi.jp/wp/wp-content/uploads/2017/10/CI211-500x350.jpg)
![[奥歯がなくて噛めない] インプラントによる咬合回復の治療後](https://seimitsushinbi.jp/wp/wp-content/uploads/2017/10/d8698d6079a6fe4d525ff65ecaa81d78-500x350.jpg)
![[奥歯がなくて噛めない] インプラントによる咬合回復の治療中](https://seimitsushinbi.jp/wp/wp-content/uploads/2017/10/08d9f30639ad3e64abf6dcd300203529-500x350.jpg)
![[奥歯がなくて噛めない] インプラントによる咬合回復の治療後](https://seimitsushinbi.jp/wp/wp-content/uploads/2017/10/34ac66107582f64db9fb787f6b577fe1-500x350.jpg)
![[奥歯がなくて噛めない] インプラントによる咬合回復の治療中](https://seimitsushinbi.jp/wp/wp-content/uploads/2017/10/eb7e2ca4d34a2027a61248bb08e5ddc8-500x350.jpg)
![[奥歯がなくて噛めない] インプラントによる咬合回復の治療後](https://seimitsushinbi.jp/wp/wp-content/uploads/2017/10/33518ae77923cf69eef4570861933cce-500x350.jpg)
![[奥歯がなくて噛めない] インプラントによる咬合回復の治療中](https://seimitsushinbi.jp/wp/wp-content/uploads/2017/10/50e9265bf0eb1a8308b64a66aa58f02a-500x350.jpg)
![[奥歯がなくて噛めない] インプラントによる咬合回復の治療後](https://seimitsushinbi.jp/wp/wp-content/uploads/2017/10/4399c3d5b633144902efd77405ee4aa9-500x350.jpg)
![[奥歯がなくて噛めない] インプラントによる咬合回復の治療中](https://seimitsushinbi.jp/wp/wp-content/uploads/2017/10/f52b5485e6326ca527884b2a95bedfe0-500x350.jpg)
![[奥歯がなくて噛めない] インプラントによる咬合回復の治療後](https://seimitsushinbi.jp/wp/wp-content/uploads/2017/10/24047a139116592a03f219c532942182-500x350.jpg)
![[奥歯がなくて噛めない] インプラントによる咬合回復の治療中](https://seimitsushinbi.jp/wp/wp-content/uploads/2017/10/CI25-500x350.jpg)