症例詳細
Case detail
他院で奥歯の初めての根の治療を10回以上通った上に抜歯と言われた 歯茎が腫れて痛い
治療症例の内容
- 診療科目
- 治療カテゴリ
- 担当医
- 井上季実子(ドクタープロフィール)
- 患者様
- 60代女性
- 治療期間
- 3ヶ月
- 治療回数
- 2-5回
- 治療計画
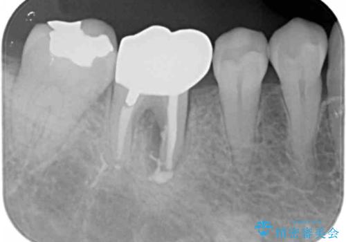
- 他院で虫歯治療に伴い初めての神経の治療を行ったところ、神経の治療自体10回以上通った上に抜歯と言われたとのことでした。
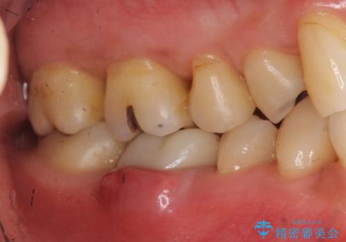
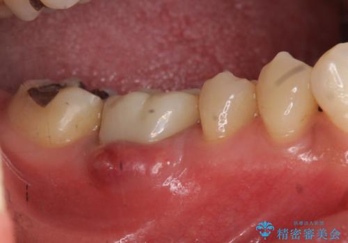
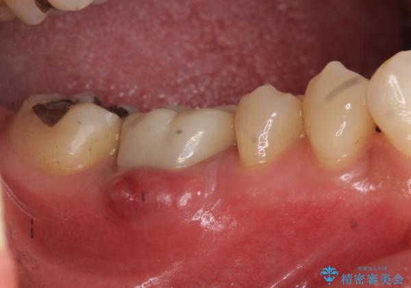
初診時には歯肉が腫れており、膿が出ている状態でした。
また、根の詰め物が根尖孔外(根の先の外の骨の部分)に盛大に漏れ出しており、歯周ポケットと根尖病巣が交通しているような状態でした。
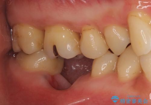
被せ物を外したところ、歯が大変薄くなって割れており、残念ながら残すことはできないと説明しました。
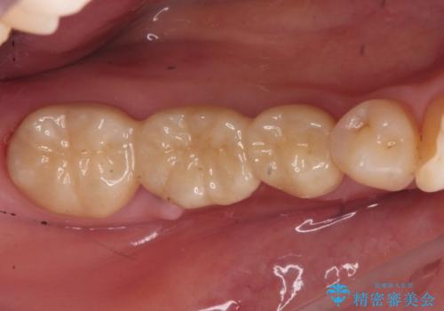
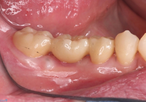
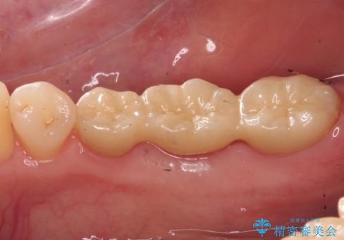
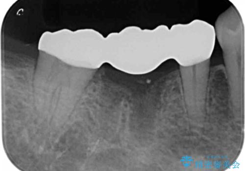
歯がなくなったところに関しては、ブリッジで修復することにしました。
- 費用(概算)
- 26.2万円(ヴェレッツァクラウン 7.7万円×3本 仮歯 1.1万円×3本)費用は治療当時の料金となります
治療について
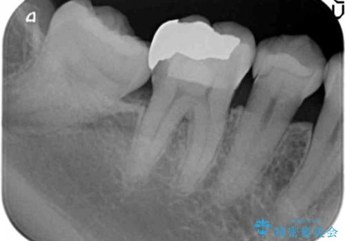
初めての根の治療には見えないくらい、かなり歯が削ってあり、薄くなっていて割れても仕方ない状態でした。前の状態を見ていないので何とも言い難いですが、他の歯に比べこの歯だけ極端に状態が悪かったです。
当院は最後まで歯を残せるように、きちんと破折していないかチェックし、患者様に写真を確認していただいたうえで抜歯をするかを相談していきます。
セラミック治療の注意事項(リスク・副作用など)
- 天然歯を削ります
- 硬い素材は天然歯を傷つけてしまう場合があります
- かみ合わせや歯ぎしりが強すぎる方はセラミックが割れてしまう可能性があります
- 自費診療(保険適用外治療)となります
当サイトの内容、テキスト、画像等の無断転載、複製、複写、盗用を固く禁じます。
















