症例詳細
Case detail
薄くて退縮しやすい前歯の歯肉 補綴治療前に歯肉移植で退縮しにくく
治療症例の内容
- 診療科目
- 治療カテゴリ
- 担当医
- 藤巻太一朗(ドクタープロフィール)
- 患者様
- 40代女性
- 治療期間
- 4ヶ月
- 治療回数
- 5-10回
- 治療計画
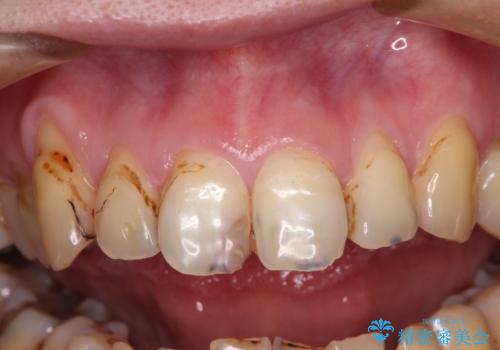
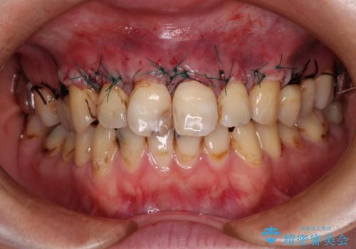
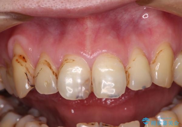
- 前歯のオールセラミック治療を検討しているとのことで来院された患者様です。
前歯は着色や虫歯治療の跡が目立っている状態で、オールセラミッククラウンによる審美治療を希望されていました。
歯肉が非常に菲薄であり、オールセラミッククラウンを装着後の近い将来歯肉退縮によりセラミックの境目が見えてくることが懸念されました。
まずは歯肉移植術により顕著に露出している歯根面を被覆して自然な歯肉ラインとし、同時に歯肉の厚みを増大させることで将来の歯肉退縮を予防することを提案しました。
- 費用(概算)
- 治療費の目安: 38万円(税込)費用は治療当時の料金となります
治療について
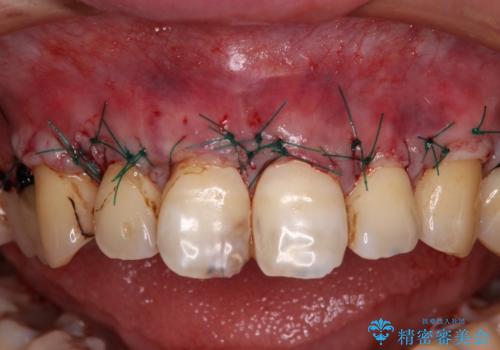
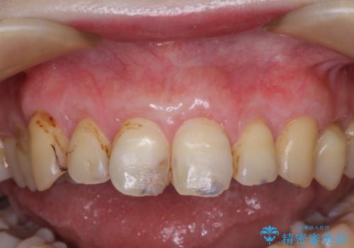
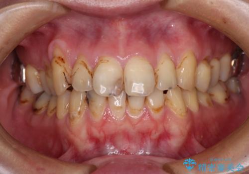
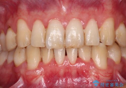
犬歯を中心に、露出量の多かった歯は十分に被覆することができました。
また、歯根のシルエットが見えた術前の状態と比較して、術後は歯肉が非常に厚くなっている状態となりました。
外科処置の注意事項(リスク・副作用など)
- 外科手術のため、術後に出血、痛みや腫れ、違和感を伴います
- 口腔内の状態によっては適応できないことがあります
当サイトの内容、テキスト、画像等の無断転載、複製、複写、盗用を固く禁じます。









