縁下歯石のクリーニングの症例写真

症例詳細

Case detail

縁下歯石のクリーニング

  1. 開始前
  2. 治療途中
  3. 終了時
  1. 縁下歯石のクリーニングの治療前
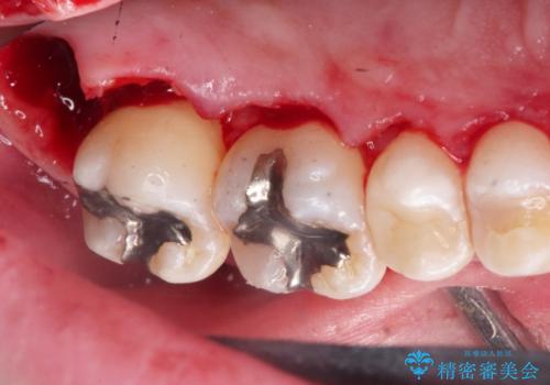
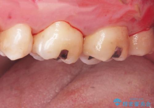
  2. 縁下歯石のクリーニングの治療中
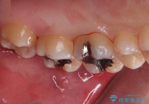
  3. 縁下歯石のクリーニングの治療後
  1. 縁下歯石のクリーニングの治療前
  2. 縁下歯石のクリーニングの治療中
  3. 縁下歯石のクリーニングの治療後
  1. 縁下歯石のクリーニングの治療前
  2. 縁下歯石のクリーニングの治療中
  3. 縁下歯石のクリーニングの治療後
  1. 縁下歯石のクリーニングの治療前
  2.  
  3. 縁下歯石のクリーニングの治療後

この治療をした歯科医師の関連症例

24時間受付
無料相談予約

お電話での無料相談のご予約

平日 11:00-20:00 / 土日 10:00-18:00
閉じる