症例詳細
Case detail
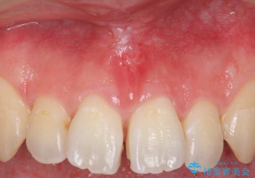
上唇小帯の切除
治療症例の内容
- 診療科目
- 治療カテゴリ
- 担当医
- 岡田康成(ドクタープロフィール)
- 患者様
- 30代男性
- 治療期間
- 1日
- 治療回数
- 1回
- 治療計画
- 矯正治療の検査時に上唇小帯が短いことがわかり、矯正後の後戻りの予防目的で上唇小帯の切除を行いました。
- 費用(概算)
- 上唇小帯切除 33,000円費用は治療当時の料金となります
治療について
上の前歯の歯と歯の間にすき間がある場合は、上唇小帯のついている位置やその長さが原因となっている場合があります。
そのままにしておくと矯正中に前歯のすき間が閉じきらなかったり、閉じたとしても後戻りをしてまたすき間ができてしまう可能性があります。
矯正の予定がなくとも、上唇小帯のつく位置が歯に近いと清掃性が悪くなるため手術で改善することをおすすめします。
外科処置の注意事項(リスク・副作用など)
- 外科手術のため、術後に出血、痛みや腫れ、違和感を伴います
- 口腔内の状態によっては適応できないことがあります
当サイトの内容、テキスト、画像等の無断転載、複製、複写、盗用を固く禁じます。






