症例詳細
Case detail
滑舌の悪さを 舌小帯形成術 で改善
治療症例の内容
- 診療科目
- 治療カテゴリ
- 担当医
- 岡田康成(ドクタープロフィール)
- 患者様
- 30代男性
- 治療期間
- 1ヶ月
- 治療回数
- 2-5回
- 治療計画
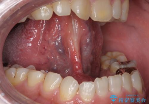
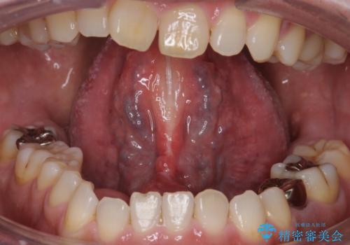
- 滑舌の悪さに長年悩まされており、意を決して手術での治療を希望し来院。
術前に舌の動きを確認した後、局所麻酔下での施術となりました。
- 費用(概算)
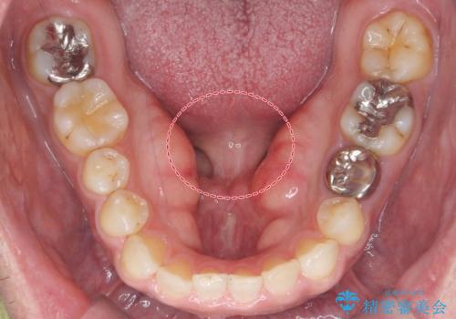
- 舌小帯切除術 33000円費用は治療当時の料金となります
治療について
局所麻酔下にて施術しました。
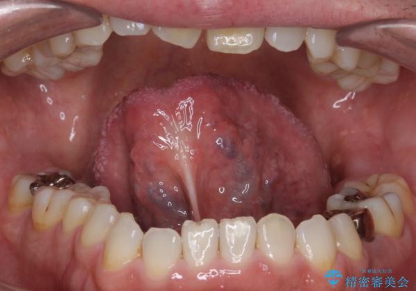
術後1週間で抜糸、約2週間で完全に治癒していきました。
切除後は特にラ行が言いやすくなったそうで大変喜んでいただけました。
外科処置の注意事項(リスク・副作用など)
- 外科手術のため、術後に出血、痛みや腫れ、違和感を伴います
- 口腔内の状態によっては適応できないことがあります
当サイトの内容、テキスト、画像等の無断転載、複製、複写、盗用を固く禁じます。







