症例詳細
Case detail
上唇小帯切除
治療症例の内容
- 診療科目
- 治療カテゴリ
- 担当医
- 青山卓弘(ドクタープロフィール)
- 患者様
- 20代女性
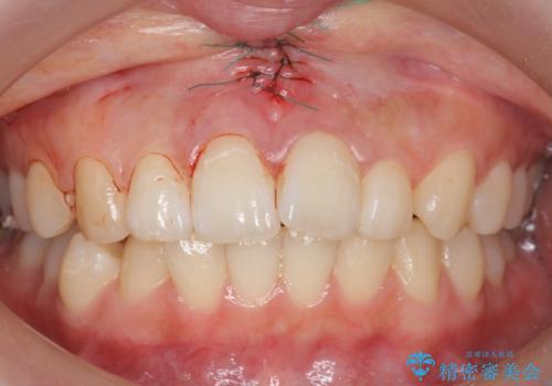
- 治療期間
- 1日
- 治療回数
- 1回
- 治療計画
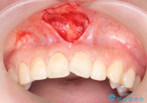
- 他院で矯正のカウンセリングに行ったところ
上唇小帯の付着位置が前歯に近くて矯正ができないと言われて来院。
矯正を行なっても後戻りのリスクが高いので、上唇小帯の切除を行いました。
- 費用(概算)
- 上唇小帯切除術 3.3万円費用は治療当時の料金となります
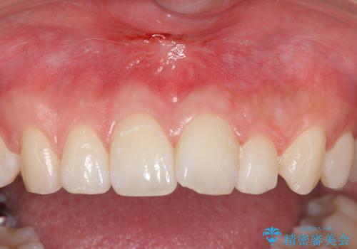
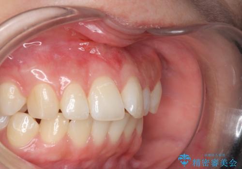
治療について
矯正をする時、上唇小帯が残っているときれいに前歯が並ばない事があり、
矯正ができても上唇小帯のせいで前歯が後戻りする原因にもなります。
また、上唇小帯が長くて歯が磨きにくく、う蝕や歯周病の原因にもなります。
外科処置の注意事項(リスク・副作用など)
- 外科手術のため、術後に出血、痛みや腫れ、違和感を伴います
- 口腔内の状態によっては適応できないことがあります
その他の注意事項(リスク・副作用など)
- 担当歯科医師、歯科衛生士又は医院スタッフから受けた説明・注意事項をよくご確認ください
- 医療を提供するに当たり、適切な説明を行い、患者様の十分な理解を得るよう努めております
当サイトの内容、テキスト、画像等の無断転載、複製、複写、盗用を固く禁じます。








