症例詳細
Case detail
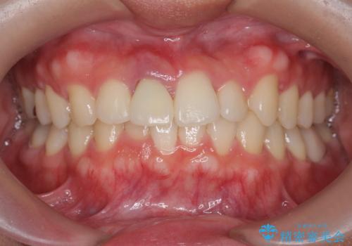
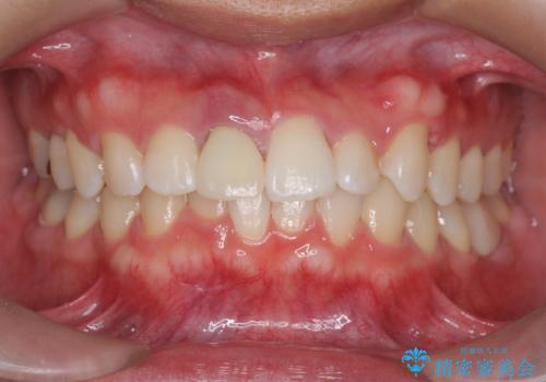
オフィスホワイトニング(被せ物を作る前に自分の歯を白く)
治療症例の内容
- 診療科目
- 治療カテゴリ
- 患者様
- 30代女性
- 治療期間
- 1日
- 治療計画
- 初めてのオフィスホワイトニング
被せ物を作る前に自分の歯を白くしたい
- 費用(概算)
- 処置前クリーニング込み オフィスホワイトニング エクセレント 33,000円費用は治療当時の料金となります
担当歯科衛生士:福田(横浜桜木町歯科)
最終補綴をする前に自分の歯の色を白くしたいとの事で、オフィスホワイトニングのエクセレントコースをオススメしました。最終的に入れる被せ物のイメージがしやすくなります。また、もう少し白くしたい場合は追加でオフィスホワイトニングしてあげることでもう少し白くすることが可能になります。
ホワイトニングの注意事項(リスク・副作用など)
- 知覚過敏が出ることがあります
- ホワイトバンドや白い斑点が出ることがあります
- クラウンやインレー等の補綴物には効果がありません
- ホワイトニングによる効果や持続期間には個人差があります
- 歯牙の状態によっては適応できないことがあります
- 保険適用外となります
当サイトの内容、テキスト、画像等の無断転載、複製、複写、盗用を固く禁じます。


