症例詳細
Case detail
前歯の被せ物に合わせてホワイトニング希望
治療症例の内容
- 診療科目
- 治療カテゴリ
- 患者様
- 20代女性
- 治療期間
- 1日
- 治療回数
- 1回
- 治療計画
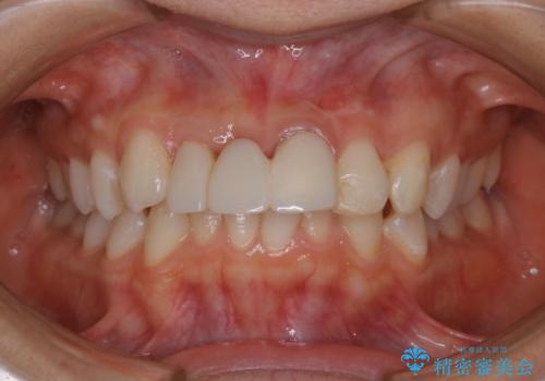
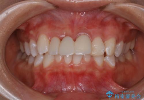
- ホワイトニングしてほしいとのことで来院されました。
オフィスホワイトニングのエクセレントコースを行いました。
- 費用(概算)
- 27,900円費用は治療当時の料金となります
治療について
オフィスホワイトニングのエクセレントコースを行いました。
前歯をセラミックの被せ物にするため、仮歯のうちにホワイトニングを行い、全体的に白くした後、その色見に合わせてセラミックを発注することが可能です。
仮歯の色見はかなり白いため、何度かオフィスホワイトニングを行うのがおすすめです。
担当歯科衛生士
表参道しらゆり歯科 DH富田
ホワイトニングの注意事項(リスク・副作用など)
- 知覚過敏が出ることがあります
- ホワイトバンドや白い斑点が出ることがあります
- クラウンやインレー等の補綴物には効果がありません
- ホワイトニングによる効果や持続期間には個人差があります
- 歯牙の状態によっては適応できないことがあります
- 保険適用外となります
当サイトの内容、テキスト、画像等の無断転載、複製、複写、盗用を固く禁じます。


