症例詳細
Case detail
久しぶりのホワイトニング
治療症例の内容
- 診療科目
- 治療カテゴリ
- 患者様
- 30代女性
- 治療期間
- 1日
- 治療回数
- 1回
- 治療計画
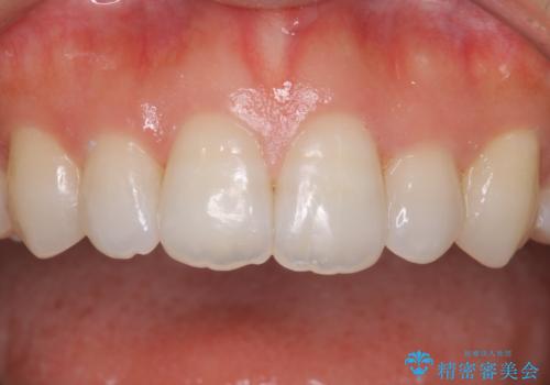
- 矯正が終わり保定期間の患者様です。夏に結婚式があるとのことでホワイトニングのエクセレントコースをご希望されました。
- 費用(概算)
- 30,000円費用は治療当時の料金となります
治療について
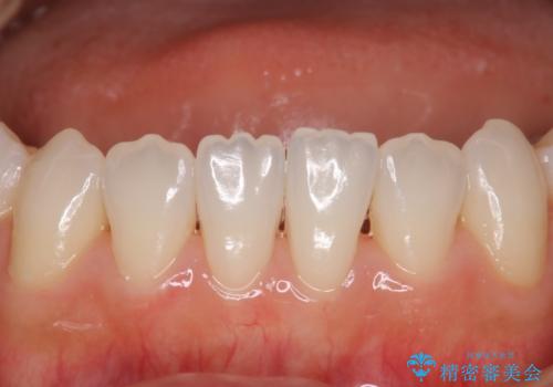
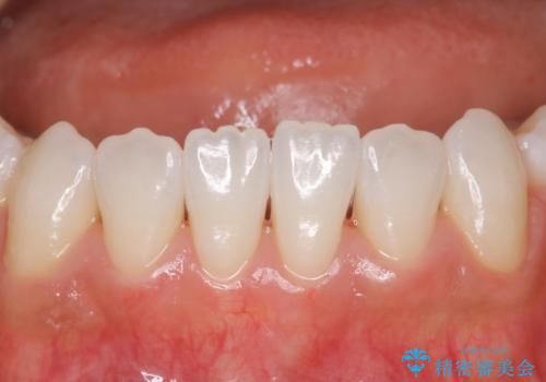
ホワイトニングの経験があることもあり、施術前から歯の色は明るめでしたが、施術後は3トーンほど明るくなりました。夏までに白くするため、ホームホワイトニングとの併用をおすすめし、結婚式前に再度オフィスホワイトニングでより白くしていきます。
ホームホワイトニングとオフィスホワイトニングの併用はデュアルホワイトニングといい、一番早くトーンアップを見込めるホワイトニング方法です。白さの持ちも良いため、おすすめです。
新橋銀座しらゆり歯科 歯科衛生士
ホワイトニングの注意事項(リスク・副作用など)
- 知覚過敏が出ることがあります
- ホワイトバンドや白い斑点が出ることがあります
- クラウンやインレー等の補綴物には効果がありません
- ホワイトニングによる効果や持続期間には個人差があります
- 歯牙の状態によっては適応できないことがあります
- 保険適用外となります
当サイトの内容、テキスト、画像等の無断転載、複製、複写、盗用を固く禁じます。




