症例詳細
Case detail
ホワイトニングスペシャルコース
治療症例の内容
- 診療科目
- 治療カテゴリ
- 患者様
- 20代女性
- 治療期間
- 1日
- 治療回数
- 1回
- 治療計画
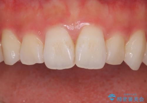
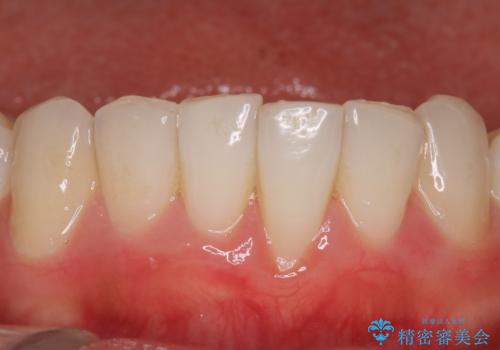
- 久しぶりに来院された患者様です。ホワイトニングご希望でしたが歯の表面の着色(ステイン)が付着していたため、除去後オフィスホワイトニングスペシャルコースを行いました。歯の表面に着色(ステイン)やバイオフィルム(細菌でできた膜)が付着していると、ホワイトニングの薬剤が浸透しにくく効果が減少します。そのため、ホワイトニングを行う際は施術前のクリーニングをおすすめします。
- 費用(概算)
- 13000円費用は治療当時の料金となります
治療について
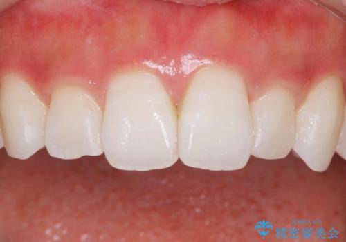
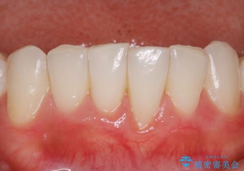
ステインを除去したこともあり、歯のトーンがかなり明るくなりました。歯のトーンが明るくなるとお顔全体の印象も明るくなります。術後の歯の色を見て、患者様も喜んでいらっしゃいました。
ホワイトニングスペシャルコース
ホワイトニングの注意事項(リスク・副作用など)
- 知覚過敏が出ることがあります
- ホワイトバンドや白い斑点が出ることがあります
- クラウンやインレー等の補綴物には効果がありません
- ホワイトニングによる効果や持続期間には個人差があります
- 歯牙の状態によっては適応できないことがあります
- 保険適用外となります
当サイトの内容、テキスト、画像等の無断転載、複製、複写、盗用を固く禁じます。




