症例詳細
Case detail
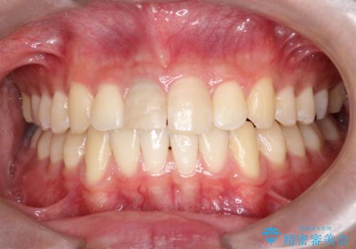
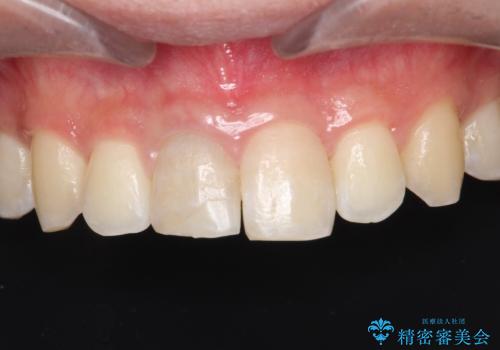
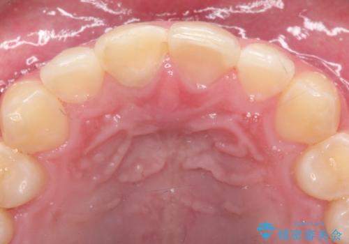
【ホワイトニング】右上前歯の歯茎の辺りが暗いのが気になる。
治療症例の内容
- 診療科目
- 治療カテゴリ
- 担当医
- 河野豊嘉(ドクタープロフィール)
- 患者様
- 20代男性
- 治療期間
- 1日
- 治療回数
- 1回
- 治療計画
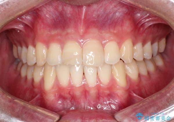
- 右上1番の色が暗いのを主訴に来院されました。
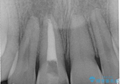
失活歯(神経の治療をしている歯)の場合、薬剤を歯の表面に塗布するホワイトニングでは白くなりません。歯の中に薬剤を入れて薬剤の反応を待つ必要があります。
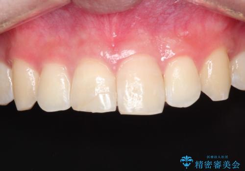
治療手順としましては、マイクロスコープ(歯科用顕微鏡)を使用し、元々入っていた詰め物のCR(プラスチック)を除去します。その後、歯の中に薬剤を入れ、蓋をします。2週間後に来院して頂き、白くなっているかを確認します。ご本人がご満足頂く白さになるまで、これを3~4回繰り返します。今回は1回で患者様がご満足されたので治療を終了しています。
※通常神経の治療を行っている歯に関しては歯の破折リスクやCR(プラスチック)の劣化や適合不良による虫歯のリスクを考慮しオールセラミッククラウンで治療することを推奨しています
- 費用(概算)
- 33,000(別途 薬剤交換1回につき5,000円)費用は治療当時の料金となります
治療について
ウォーキングブリーチは外部吸収のリスクと色の後戻りのリスクがあります。
精度を高めるために当院はマイクロスコープを使用しています。
ホワイトニングの注意事項(リスク・副作用など)
- 知覚過敏が出ることがあります
- ホワイトバンドや白い斑点が出ることがあります
- クラウンやインレー等の補綴物には効果がありません
- ホワイトニングによる効果や持続期間には個人差があります
- 歯牙の状態によっては適応できないことがあります
- 保険適用外となります
当サイトの内容、テキスト、画像等の無断転載、複製、複写、盗用を固く禁じます。








