症例詳細
Case detail
オフィスホワイトニング エクセレントコース
治療症例の内容
- 診療科目
- 治療カテゴリ
- 患者様
- 30代男性
- 治療期間
- 1日
- 治療回数
- 1回
- 治療計画
- 数年前に他院にてホワイトニングの施術経験がありましたが、色戻りしてきたためオフィスホワイトニングをご希望されました。
- 費用(概算)
- 29700円(税込み)費用は治療当時の料金となります
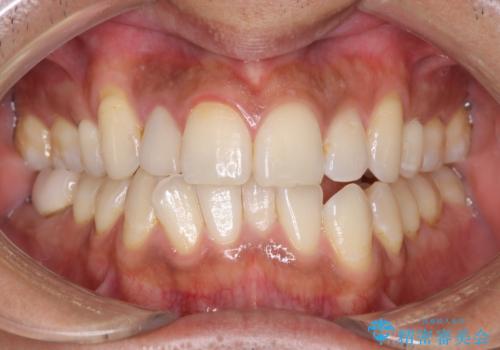
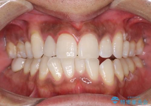
治療について
数年前にホワイトニングの施術経験があったため、歯の色は明るめからのスタートでした。
今回はエクセレントコースを行いました。施術後は全体的にワントーンアップし、施術前はご自身の歯よりも明るかった左上2番目の被せ物の色にも近づきました。
歯科衛生士 松尾
ホワイトニングの注意事項(リスク・副作用など)
- 知覚過敏が出ることがあります
- ホワイトバンドや白い斑点が出ることがあります
- クラウンやインレー等の補綴物には効果がありません
- ホワイトニングによる効果や持続期間には個人差があります
- 歯牙の状態によっては適応できないことがあります
- 保険適用外となります
当サイトの内容、テキスト、画像等の無断転載、複製、複写、盗用を固く禁じます。


