症例詳細
Case detail
オフィスホワイトニングで、口元明るく爽やかに!!
治療症例の内容
- 診療科目
- 治療カテゴリ
- 患者様
- 20代女性
- 治療期間
- 1日
- 治療回数
- 1回
- 治療計画
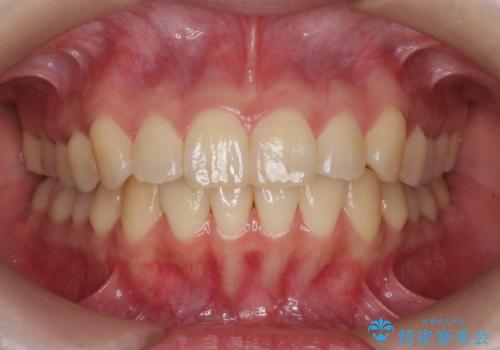
- ホワイトニングで歯を白くされたいと、来院されました。
小さいお子様がいて、通院あまりできないということで1日で白くなるオフィスホワイトニング(エクセレント)を
おすすめしました。
- 費用(概算)
- 33000円(税込)クリーニング付費用は治療当時の料金となります
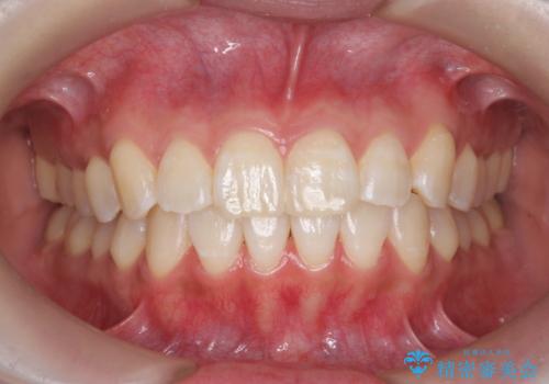
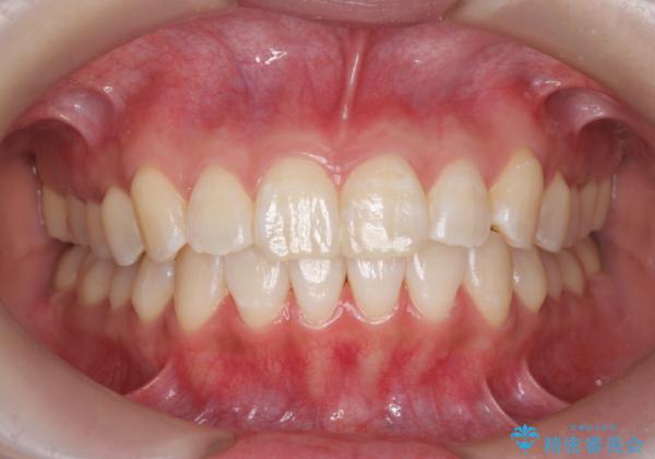
オフィスホワイトニング(エクセレント) 担当衛生士 進藤
1日で、歯の色が、明るくなり良かったと満足していただけました。
ホワイトニングの注意事項(リスク・副作用など)
- 知覚過敏が出ることがあります
- ホワイトバンドや白い斑点が出ることがあります
- クラウンやインレー等の補綴物には効果がありません
- ホワイトニングによる効果や持続期間には個人差があります
- 歯牙の状態によっては適応できないことがあります
- 保険適用外となります
当サイトの内容、テキスト、画像等の無断転載、複製、複写、盗用を固く禁じます。


