症例詳細
Case detail
矯正治療中のオフィスホワイトニング
治療症例の内容
- 診療科目
- 治療カテゴリ
- 患者様
- 20代女性
- 治療期間
- 1日
- 治療回数
- 1回
- 治療計画
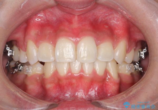
- 矯正治療中の方です。
 結婚式の写真撮りの為、前だけ装置を外して、ホワイトニングを希望されました。
 
- 費用(概算)
- 約13000円費用は治療当時の料金となります
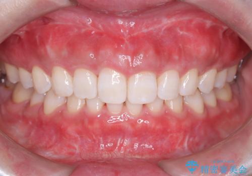
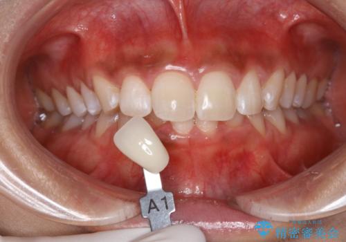
オフィスホワイトニング スペシャルコース
人気のコースです。
何回か受けて頂く事をおすすめします。ホームホワイトニングと並行して行うと、早く白くなります。
         銀座院歯科衛生士 吉越
ホワイトニングの注意事項(リスク・副作用など)
- 知覚過敏が出ることがあります
- ホワイトバンドや白い斑点が出ることがあります
- クラウンやインレー等の補綴物には効果がありません
- ホワイトニングによる効果や持続期間には個人差があります
- 歯牙の状態によっては適応できないことがあります
- 保険適用外となります
当サイトの内容、テキスト、画像等の無断転載、複製、複写、盗用を固く禁じます。








 
                       
                                                          

 
                   
                   
                  