症例詳細
Case detail
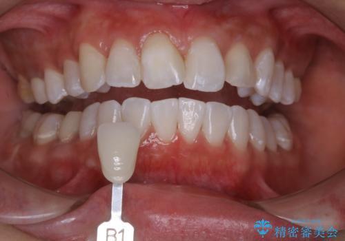
オフィスホワイトニング スペシャルコース
治療症例の内容
- 診療科目
- 治療カテゴリ
- 患者様
- 50代女性
- 治療期間
- 1日
- 治療回数
- 1回
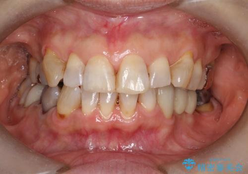
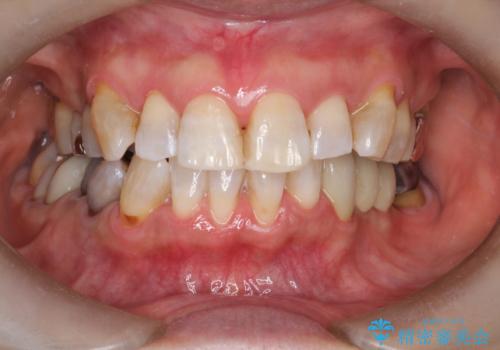
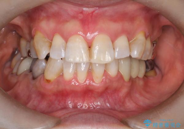
- 治療計画
- 矯正治療後、定期的にメンテナンスを受けている方です。
初めてのホワイトニングです。
- 費用(概算)
- 約13000円費用は治療当時の料金となります
オフィスホワイトニングスペシャルコース
知覚過敏が起きずらコースですので、知覚過敏が心配な方もご相談下さい。
何回か受けられると後戻りしずらくなります。
銀座 歯科衛生士 吉越
ホワイトニングの注意事項(リスク・副作用など)
- 知覚過敏が出ることがあります
- ホワイトバンドや白い斑点が出ることがあります
- クラウンやインレー等の補綴物には効果がありません
- ホワイトニングによる効果や持続期間には個人差があります
- 歯牙の状態によっては適応できないことがあります
- 保険適用外となります
当サイトの内容、テキスト、画像等の無断転載、複製、複写、盗用を固く禁じます。


