症例詳細
Case detail
- 患者様
- 70代女性
- 治療期間
- 2ヶ月
- 治療回数
- 2-5回
- 治療計画
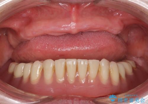
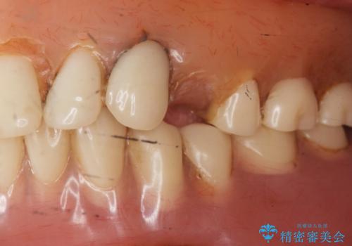
- 上の入れ歯の歯がとれてしまったこと・ゆるくてはずれてしまうことを主訴に来院された患者様です。
精査したところ、長年使用されていた入れ歯は劣化し、人工歯の脱離及び適合不良を認めました。
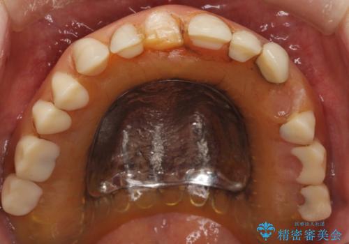
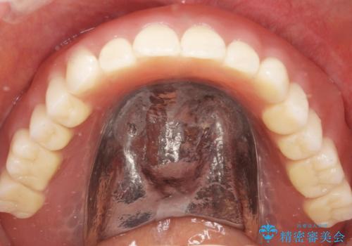
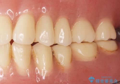
患者様のご希望により、上顎金属床義歯の新製を行いました。
適合を良くするため、咬座印象も行いました。
- 費用(概算)
- ¥440,000 (金属床総義歯) ※税込費用は治療当時の料金となります
治療について
「ぴったりしていて全然はずれません!」と喜んで下さいました。
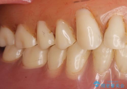
古い入れ歯は人工歯がすり減っており左右均等に咬むことができなかったそうですが、新しい入れ歯だと両側でしっかり咬むことができるとご満足頂けました。
入れ歯の種類:金属床義歯
入れ歯の注意事項(リスク・副作用など)
- ブリッジやインプラントと比較して、色が合いづらい、見た目の違和感があります
- ブリッジやインプラントと比較して、話しにくい、舌が当たる等の違和感があります
- 慣れるまで微調整で何度か通って頂くことがあります
- 就寝時や食後に毎回取り外して、清掃する必要があります
- 自費診療(保険適用外)となります
当サイトの内容、テキスト、画像等の無断転載、複製、複写、盗用を固く禁じます。














