症例詳細
Case detail
オフィスホワイトニングで、自然な白い歯に!
治療症例の内容
- 診療科目
- 治療カテゴリ
- 患者様
- 30代男性
- 治療期間
- 1日
- 治療回数
- 1回
- 治療計画
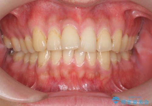
- ご自身の歯を今より白くしたいとの希望で来院されました。
自然な感じの白さをご希望されたので、オフィスホワイトニングをおすすめしました。
- 費用(概算)
- 33,000円(税込)クリーニング付費用は治療当時の料金となります
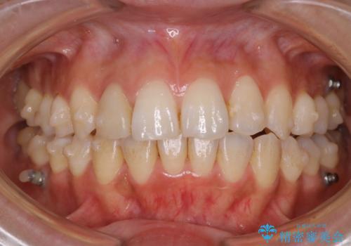
オフィスホワイトニング(エクセレント) 担当衛生士 進藤
口元が自然な感じに明るく白くなって、喜んでいただけました。
ホワイトニングの注意事項(リスク・副作用など)
- 知覚過敏が出ることがあります
- ホワイトバンドや白い斑点が出ることがあります
- クラウンやインレー等の補綴物には効果がありません
- ホワイトニングによる効果や持続期間には個人差があります
- 歯牙の状態によっては適応できないことがあります
- 保険適用外となります
当サイトの内容、テキスト、画像等の無断転載、複製、複写、盗用を固く禁じます。


