症例詳細
Case detail
- 患者様
- 20代女性
- 治療期間
- 1日
- 治療回数
- 1回
- 治療計画
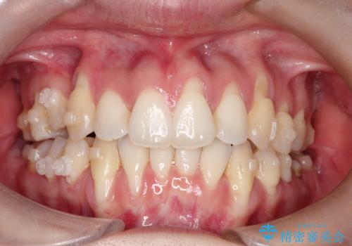
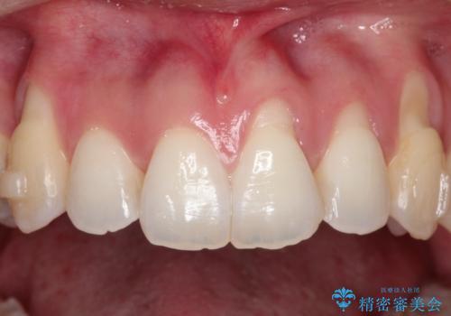
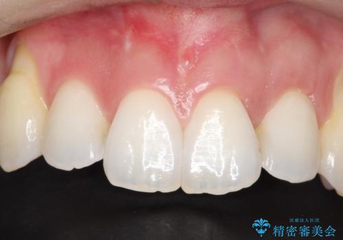
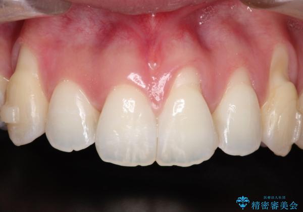
- 以前矯正治療をして歯茎が下がってきたとのことで来院されました。
歯茎の移植により露出した根面を被覆する計画しました。
- 費用(概算)
- 約11万円費用は治療当時の料金となります
治療について
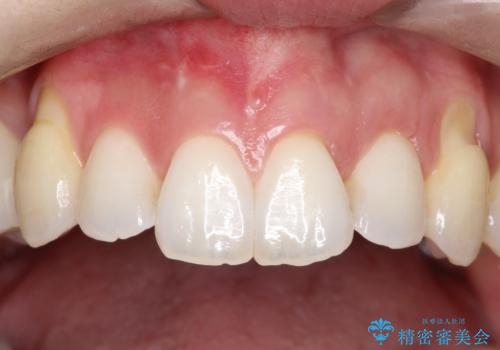
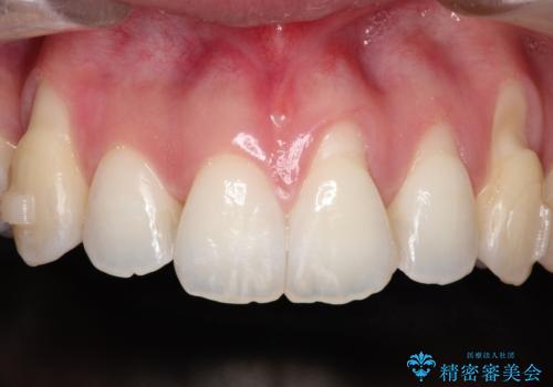
回復する程度には個人差がありますが、この患者様の場合ほぼ元の位置まで回復させることができました。
歯周病治療の注意事項(リスク・副作用など)
- 外科手術のため、術後に痛みや腫れ、違和感を伴います
- 歯周組織再生治療は患者様の状態によって術後の経過が異なります(見た目が改善しない場合もあります)
- 歯周組織再生治療は自費診療(保険適用外)となります
当サイトの内容、テキスト、画像等の無断転載、複製、複写、盗用を固く禁じます。








