症例詳細
Case detail
虫歯を放置 しっかり治療したい。 抜歯してインプラント治療
治療症例の内容
- 診療科目
- 治療カテゴリ
- 担当医
- 井上季実子(ドクタープロフィール)
- 患者様
- 20代女性
- 治療期間
- 1年
- 治療回数
- 2-5回
- 治療計画
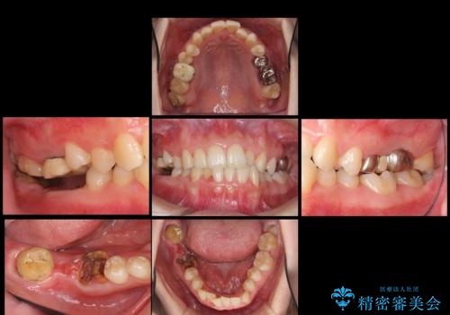
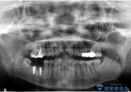
- 奥歯が虫歯で他院で抜かないといけないといわれ来院。
 虫歯を放置していたが、これを機にしっかり通って治したいとのことでした。
 
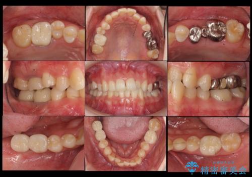
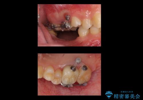
 右下は虫歯がひどく、抜歯が必要でした。また、右下の一番奥の歯は親知らずのため使うことができない状態でした。
 
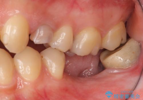
 右上に部分矯正を行い、クリアランスを確保した後、右下にイプラントを2本埋入しています。
- 費用(概算)
- およそ150万円 部分矯正30万円、インプラント治療37万円×2本、右上7emaxインレー、右上6 専門医による再根管治療およびジルコニアクラウン26万円費用は治療当時の料金となります
治療について
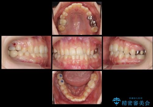
上の歯が伸びだしてきていたため、部分矯正を行い歯を移動させてから、向かい合わせの歯にインプラント治療を行っています。
右上第一大臼歯は六本木院の林院長に根管治療をお願いしました。
セラミック治療の注意事項(リスク・副作用など)
- 天然歯を削ります
- 硬い素材は天然歯を傷つけてしまう場合があります
- かみ合わせや歯ぎしりが強すぎる方はセラミックが割れてしまう可能性があります
- 自費診療(保険適用外治療)となります
インプラント治療の注意事項(リスク・副作用など)
- 外科手術のため、術後に痛みや腫れ、違和感を伴います
- メンテナンスを怠ったり喫煙により、お口の中に大きな悪影響を及ぼすインプラント周囲炎等にかかる可能性があります
- 糖尿病、肝硬変、心臓病等の場合、インプラント治療ができない可能性があります
- 高血圧、貧血・不整脈等の場合、インプラント治療後に治癒不全を招く可能性があります
- 自費診療(保険適用外治療)となります
ワイヤー矯正の注意事項(リスク・副作用など)
- 治療中は違和感や痛みが起こることがあります
- 症状により、抜歯が必要な場合があります
- 治療中は歯磨きがしにくくなるため、虫歯や歯周病になりやすくなります
- 矯正治療後の保定が不十分だと後戻り(元の位置に戻ろうとする動き)をします
- 自費診療(保険適用外)となります
当サイトの内容、テキスト、画像等の無断転載、複製、複写、盗用を固く禁じます。








 
                       
                                                          











 
                   
                   
                  