症例詳細
Case detail
前歯のセラミック作成前にオフィスホワイトニング
治療症例の内容
- 診療科目
- 治療カテゴリ
- 患者様
- 20代女性
- 治療期間
- 1日
- 治療回数
- 1回
- 治療計画
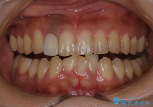
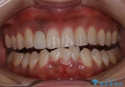
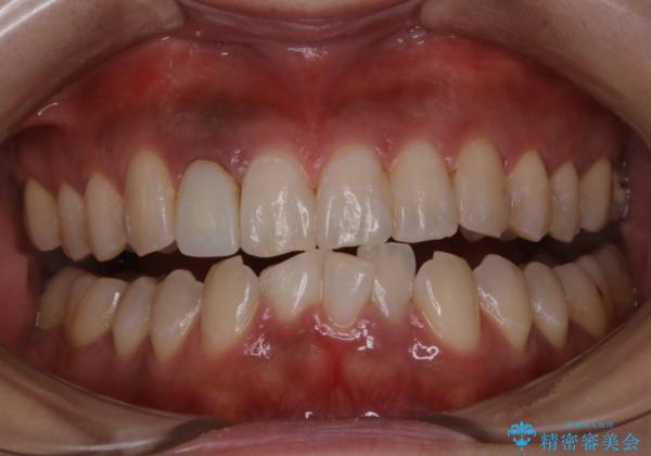
- 前歯のセラミックを作る前に、ホワイトニングで全体を白くしたいとのことでした。
効果をより高めるために処置前クリーニング(¥3300)を行ってから、オフィスホワイトニングのエクセレントコース(¥29700)を行いました。
- 費用(概算)
- ¥33000費用は治療当時の料金となります
治療について
ホワイトニングは、歯を削ったり、傷つけたりすることなく歯の内部の象牙質まで浸透し、色素を分解して漂白することで、くすることができます。
ホワイトニングには歯科医院で行うオフィスホワイトニングと、ご自宅で行うホームホワイトニングがあります。
当法人ではプラン内容が細かく分かれていますので、ご自身に合わせたホワイトニングプランを立てることができます。
オフィスホワイトニングとホームホワイトニングの違い
(オフィスホワイトニング)
・歯科医院にて行う
・施術時間約60分~90分
・一回で効果がでる
・ホワイトニング剤を塗り、光を照射してホワイトニング効果を促進させる
(ホームホワイトニング)
・自宅で行う
・2週間続けて行い、徐々に白くしていく
・専用のマウスピースを作成し、そこにホワイトニングジェルを注入して装着する
・時間をかけて薬剤を深く浸透させるので、効果が高い
・オフィスホワイトニングよりも白さが持続する
デュアルホワイトニングとは
オフィスホワイトニングとホームホワイトニングを併用して行う方法です。
それぞれのホワイトニングを単体で行うよりも、短時間で、白さアップが期待できます。効果も長持ちしやすいと言われています。
担当
表参道しらゆり歯科 DH西澤
ホワイトニングの注意事項(リスク・副作用など)
- 知覚過敏が出ることがあります
- ホワイトバンドや白い斑点が出ることがあります
- クラウンやインレー等の補綴物には効果がありません
- ホワイトニングによる効果や持続期間には個人差があります
- 歯牙の状態によっては適応できないことがあります
- 保険適用外となります
当サイトの内容、テキスト、画像等の無断転載、複製、複写、盗用を固く禁じます。


