症例詳細
Case detail
30代女性 矯正中の歯ぐきの腫れ
治療症例の内容
- 診療科目
- 治療カテゴリ
-
- 担当医
- 患者様
- 30代女性
- 治療期間
- 2ヶ月
- 治療回数
- 2-5回
- 治療計画
- 矯正治療を一時中断・ブラケットを外す
→根管治療に集中
→症状の消退をみて矯正に戻っていただく
- 費用(概算)
- 9万円費用は治療当時の料金となります
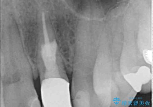
治療について
矯正中に歯が痛くなるのはよくあることですので、こういった際は注意深く経過を観察して自然に緩解するケースを考慮しなくてはなりません。
しかし今回は経過をみる中で不可逆性の炎症を示す症状を呈してきたため、根管治療の介入となりました。
症状は消失し、歯ぐきの腫れもなくなったため、一度矯正に戻っていただき、矯正終了後クラウンにて修復するのがよいでしょう。
根管治療の注意事項(リスク・副作用など)
- 根管治療により類似の全ての症例の問題が解決するわけではなく、症例はあくまでも一例です
- 根管治療により痛みや腫れがひかない事や、術後に痛みや腫れが生じる事、治療によるファイル破折やパーフォレーションなどの偶発症、術後の歯根破折を生じる可能性もあります
- 自費診療(保険適用外)となります
当サイトの内容、テキスト、画像等の無断転載、複製、複写、盗用を固く禁じます。












