症例詳細
Case detail
オフィスホワイトニング スタンダードコース
治療症例の内容
- 診療科目
- 治療カテゴリ
- 患者様
- 30代女性
- 治療期間
- 1日
- 治療回数
- 1回
- 治療計画
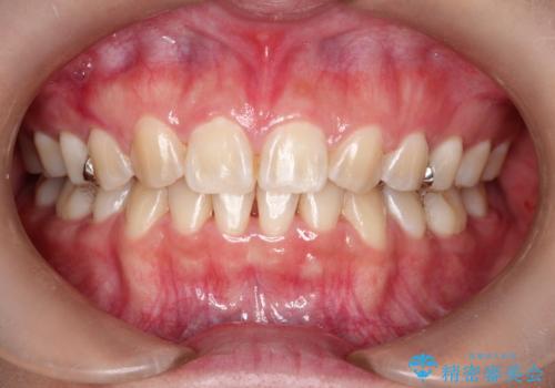
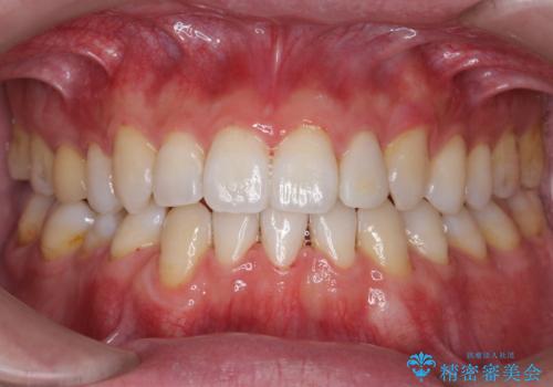
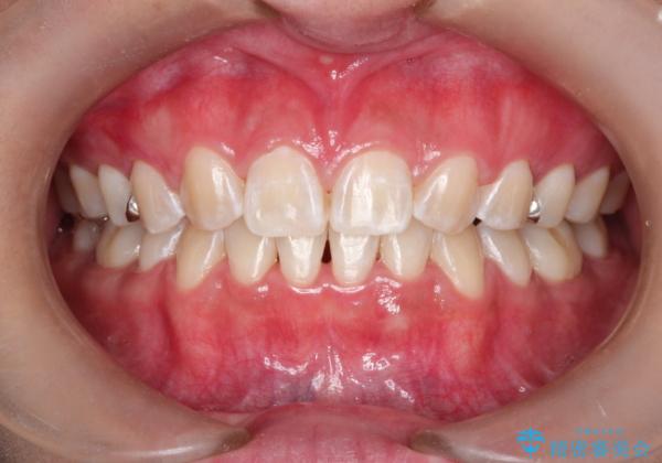
- 矯正後、3カ月に1度メンテナンスに通院されている方です。プラークコントロールは良いです。
正面から見える金属インレー2本を、セラミックインレーにかえる為に、ホワイトニングを希望されました。
- 費用(概算)
- 約8000円費用は治療当時の料金となります
オフィスホワイトニング スタンダードコース
オフィスホワイトニングの中では1番ライトなコースです。
色が濃い方は、何度継続する事をおすすめします。
また知覚過敏がある方にもおすすめです。
オフィスホワイトニングとホームホワイトニングのデュアルホワイトニングも効果が出やすい為、おすすめです。
歯科衛生士 吉越
ホワイトニングの注意事項(リスク・副作用など)
- 知覚過敏が出ることがあります
- ホワイトバンドや白い斑点が出ることがあります
- クラウンやインレー等の補綴物には効果がありません
- ホワイトニングによる効果や持続期間には個人差があります
- 歯牙の状態によっては適応できないことがあります
- 保険適用外となります
当サイトの内容、テキスト、画像等の無断転載、複製、複写、盗用を固く禁じます。


