症例詳細
Case detail
歯周病治療 歯科衛生士による歯石除去
治療症例の内容
- 診療科目
- 治療カテゴリ
- 患者様
- 40代女性
- 治療期間
- 3ヶ月
- 治療回数
- 2-5回
- 治療計画
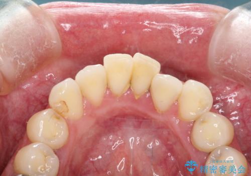
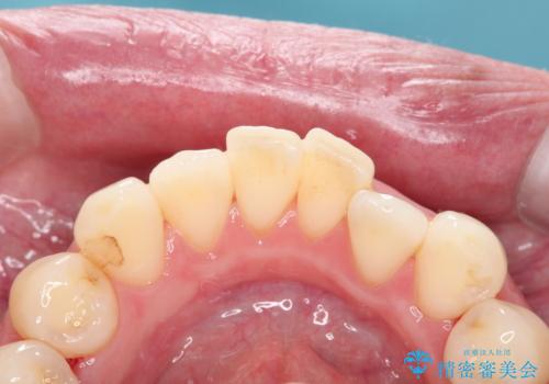
- 数十年ぶりの歯科来院の方です。
歯石は縁下歯石と呼ばれる歯周ポケットを深くして、歯周病を進行させてしまう歯石が沢山有りました。
虫歯治療や歯石除去を済ませてから、矯正治療(インビザライン)を開始する患者様です。
- 費用(概算)
- 10000円前後費用は治療当時の料金となります
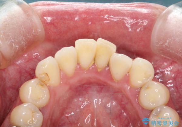
歯周病治療(歯石除去と歯磨き指導)
状態により、歯石除去の来院回数は変わります。また歯石除去をしても、ホームケアが安定していないと意味のない物となってしまう為、歯磨き指導はとても重要です。
患者様の協力がないと歯周病の進行は止められません。
歯石除去を進めていくと、歯肉が下がったり出血したり、知覚過敏が起きる事がありますので、不安にならないためにも、担当歯科衛生士の説明をしっかりと確認してくださいね。
担当歯科衛生士
銀座しらゆり歯科 DH吉越
保険治療の注意事項(リスク・副作用など)
- 保険医が保険医療機関において健康保険法、医師法、医療法等の各種関係法令の規定を遵守し、『療養担当規則』の規定を遵守し、医学的に妥当適切な診療を行い、診療報酬点数表に定められたとおりに請求を行っています
- 使用する材料・素材や治療方法に制約があります
- 健康保険適用となります
当サイトの内容、テキスト、画像等の無断転載、複製、複写、盗用を固く禁じます。


