症例詳細
Case detail
オフィスホワイトニング スペシャルコース
治療症例の内容
- 診療科目
- 治療カテゴリ
- 患者様
- 20代女性
- 治療期間
- 1日
- 治療回数
- 1回
- 治療計画
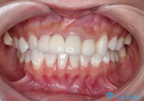
- 上の前歯の並びを変える為に、セラミックを被せる事を検討してます。
元々白いのですが、ホワイトニング希望されました。
- 費用(概算)
- 約12000円費用は治療当時の料金となります
オフィスホワイトニング スペシャルコース
他でホワイトニング経験が有ります、その為、施術前から白いです。
天然歯は白くなるのに限界が有る為、少しトーンアップしました。
元々の歯に白濁が見られます。ホワイトニングを継続するとなじんできます。
歯科衛生士 吉越
ホワイトニングの注意事項(リスク・副作用など)
- 知覚過敏が出ることがあります
- ホワイトバンドや白い斑点が出ることがあります
- クラウンやインレー等の補綴物には効果がありません
- ホワイトニングによる効果や持続期間には個人差があります
- 歯牙の状態によっては適応できないことがあります
- 保険適用外となります
当サイトの内容、テキスト、画像等の無断転載、複製、複写、盗用を固く禁じます。


