症例詳細
Case detail
オフィスホワイトニングで、歯を白く口元イメージアップで爽やかに!!
治療症例の内容
- 診療科目
- 治療カテゴリ
- 患者様
- 40代男性
- 治療期間
- 1日
- 治療回数
- 1回
- 治療計画
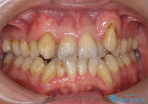
- 歯の色が茶色く気になっていると来院されました。
クリーニングとオフィスホワイトニングをおすすめしました。
- 費用(概算)
- 33,000円(税込)クリーニング付費用は治療当時の料金となります
オフィスホワイトニング(エクセレント)
歯が白く口元が明る爽やかなイメージになり、
大変満足していただけました。
担当歯科衛生士
横浜桜木町歯科 DH進藤
ホワイトニングの注意事項(リスク・副作用など)
- 知覚過敏が出ることがあります
- ホワイトバンドや白い斑点が出ることがあります
- クラウンやインレー等の補綴物には効果がありません
- ホワイトニングによる効果や持続期間には個人差があります
- 歯牙の状態によっては適応できないことがあります
- 保険適用外となります
当サイトの内容、テキスト、画像等の無断転載、複製、複写、盗用を固く禁じます。


