症例詳細
Case detail
オフィスホワイトニング スペシャルコース3回
治療症例の内容
- 診療科目
- 治療カテゴリ
- 患者様
- 20代男性
- 治療期間
- 1ヶ月
- 治療回数
- 2-5回
- 治療計画
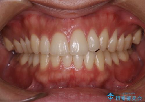
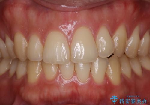
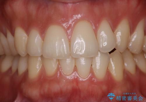
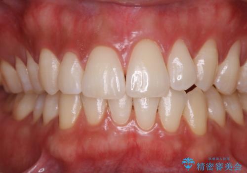
- 歯を白くしたいとのことで来院されました。
オフィスホワイトニングのスペシャルコースを3回、処置前クリーニングを1回行いました。
- 費用(概算)
- 47190円費用は治療当時の料金となります
治療について
オフィスホワイトニングのスペシャルコースを3回、処置前クリーニングを1回行いました。
スペシャルコースはエクセレントコースに比べてジェルの濃度が低い為、理想の白さにするまでにより回数がかかります。1週間に1回のペースでホワイトニングを行いました。
※1回の照射でどのくらい白くなるかは個人差があります。
担当歯科衛生士
表参道しらゆり歯科 DH富田
ホワイトニングの注意事項(リスク・副作用など)
- 知覚過敏が出ることがあります
- ホワイトバンドや白い斑点が出ることがあります
- クラウンやインレー等の補綴物には効果がありません
- ホワイトニングによる効果や持続期間には個人差があります
- 歯牙の状態によっては適応できないことがあります
- 保険適用外となります
当サイトの内容、テキスト、画像等の無断転載、複製、複写、盗用を固く禁じます。






