症例詳細
Case detail
滑舌が気になる:矯正治療前に舌小帯切除
治療症例の内容
- 診療科目
- 治療カテゴリ
- 担当医
- 患者様
- 20代男性
- 治療期間
- 1日
- 治療回数
- 1回
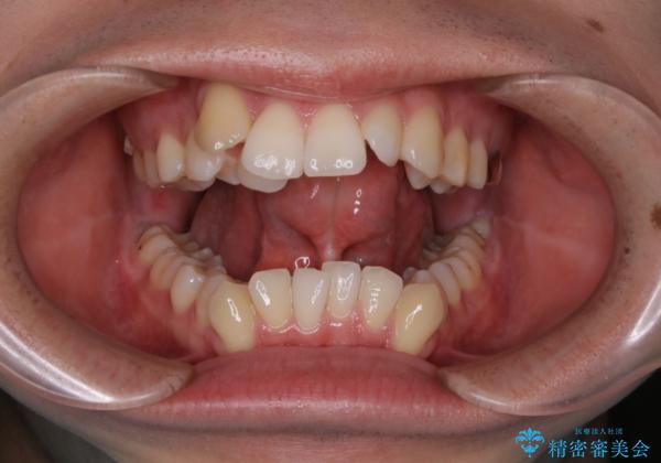
- 治療計画
- 歯並びと滑舌が気になるとご相談にいらした方です。矯正治療に先立って、舌小帯切除を行いました。
- 費用(概算)
- 3.3万円(税込)筋機能訓練は別途費用は治療当時の料金となります
治療について
舌小帯は、舌の下にある線維性のスジです。これが極端に短かったり、強直していると、舌の運動や発音に弊害をきたすことがあります。
切除前及び切除後には舌の機能訓練を行うことが重要です。事前に舌の訓練を行うことで切除直後のスムーズな舌運動を促し、術後にも訓練を行うことで後戻りを防止します。
外科処置の注意事項(リスク・副作用など)
- 外科手術のため、術後に出血、痛みや腫れ、違和感を伴います
- 口腔内の状態によっては適応できないことがあります
当サイトの内容、テキスト、画像等の無断転載、複製、複写、盗用を固く禁じます。









