症例詳細
Case detail
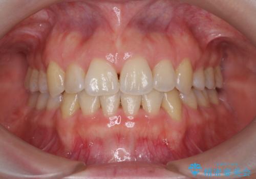
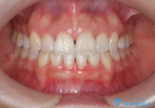
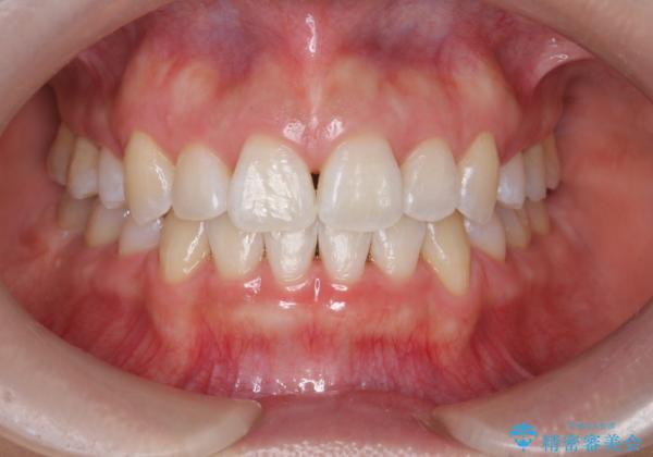
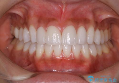
オフィスホワイトニング(エクセレント)ビフォーアフター
治療症例の内容
- 診療科目
- 治療カテゴリ
- 患者様
- 20代女性
- 治療期間
- 1日
- 治療回数
- 1回
- 治療計画
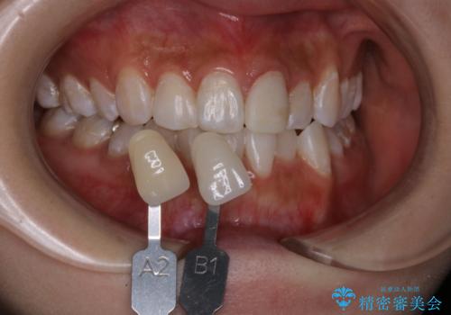
- 歯の色が気になりホワイトニングを希望され来院されました、医院で1時間半で明るくなるオフィスホワイトニング(エクセレント)をおすすめしました。
- 費用(概算)
- 33000円(税込)クリーニング付費用は治療当時の料金となります
オフィスホワイトニング(エクセレント)横浜桜木町歯科 担当衛生士 徐
歯の色が明るくなったととても喜んでいただけました。
ホワイトニングの注意事項(リスク・副作用など)
- 知覚過敏が出ることがあります
- ホワイトバンドや白い斑点が出ることがあります
- クラウンやインレー等の補綴物には効果がありません
- ホワイトニングによる効果や持続期間には個人差があります
- 歯牙の状態によっては適応できないことがあります
- 保険適用外となります
当サイトの内容、テキスト、画像等の無断転載、複製、複写、盗用を固く禁じます。


