症例詳細
Case detail
オフィスホワイトニングで歯を白く!
治療症例の内容
- 診療科目
- 治療カテゴリ
- 患者様
- 20代女性
- 治療期間
- 1日
- 治療回数
- 1回
- 治療計画
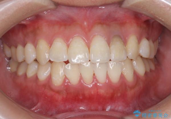
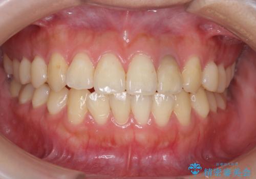
- ご自身の歯の色を、今より白くしたいと希望されたので一日で白くなるオフィスホワイトニング(エクセレント)をおすすめしました。
 
- 費用(概算)
- 33,000円(税込) 術前クリーニング付費用は治療当時の料金となります
オフィスホワイトニング(エクセレント)
歯の色が自然な感じに白くなり、きれいになったと満足していただけました。
担当歯科衛生士
横浜桜木町歯科 DH進藤
ホワイトニングの注意事項(リスク・副作用など)
- 知覚過敏が出ることがあります
- ホワイトバンドや白い斑点が出ることがあります
- クラウンやインレー等の補綴物には効果がありません
- ホワイトニングによる効果や持続期間には個人差があります
- 歯牙の状態によっては適応できないことがあります
- 保険適用外となります
当サイトの内容、テキスト、画像等の無断転載、複製、複写、盗用を固く禁じます。








 
                       
                                                          

 
                   
                   
                  