症例詳細
Case detail
- 患者様
- 50代男性
- 治療期間
- 7ヶ月
- 治療回数
- 2-5回
- 治療計画
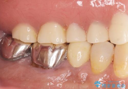
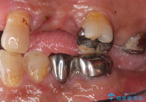
- 交通事故により前歯が折れたことを主訴に来院された患者様です。
精査したところ、前歯以外にも歯が折れており、上の歯の多くが保存不可能な状態でした。
インプラントと入れ歯の治療方針を提案したところ、なるべく予算を抑えたいとのことで入れ歯による治療をご希望されました。
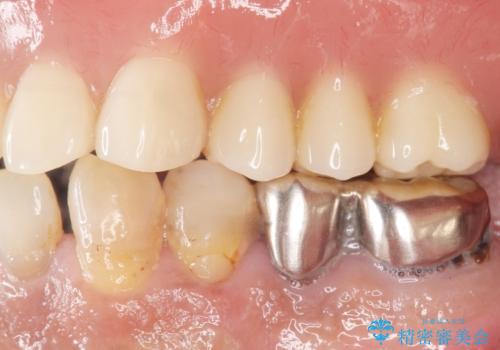
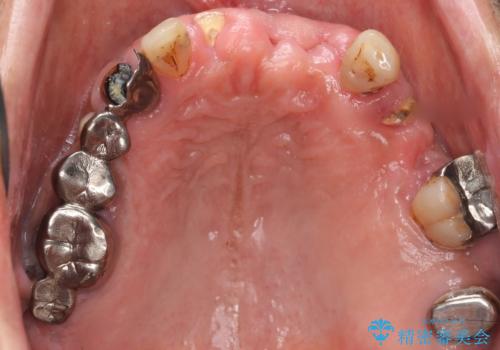
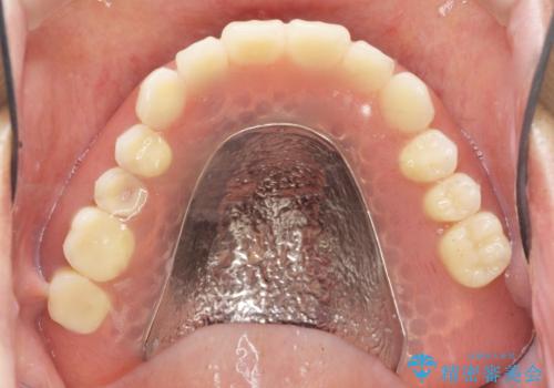
保存可能な2本の歯を用いて、マグネットデンチャー(磁性アタッチメントを用いた入れ歯)による治療を行いました。
下顎の治療に関しては、ご予算によりご希望されませんでした。
- 費用(概算)
- ¥780,000 (根管治療×2本、土台×2本、磁性アタッチメント×2、金属床義歯)費用は治療当時の料金となります
治療について
予算を抑えて審美的に咬合を回復することができ、ご満足頂けました。
マグネット(磁石)により入れ歯がはずれにくく動揺しにくいため、入れ歯安定剤などを使うことなく食事やお話も問題なくできると喜んで下さいました。
入れ歯の種類:金属床義歯 マグネットデンチャー
入れ歯の注意事項(リスク・副作用など)
- ブリッジやインプラントと比較して、色が合いづらい、見た目の違和感があります
- ブリッジやインプラントと比較して、話しにくい、舌が当たる等の違和感があります
- 慣れるまで微調整で何度か通って頂くことがあります
- 就寝時や食後に毎回取り外して、清掃する必要があります
- 自費診療(保険適用外)となります
当サイトの内容、テキスト、画像等の無断転載、複製、複写、盗用を固く禁じます。

















