症例詳細
Case detail
奥歯のセラミックと色を合わせたい オフィスホワイトニング
治療症例の内容
- 診療科目
 
- 治療カテゴリ
 
- 患者様
 - 20代男性
 
- 治療期間
 - 1日
 
- 治療回数
 - 1回
 
- 治療計画
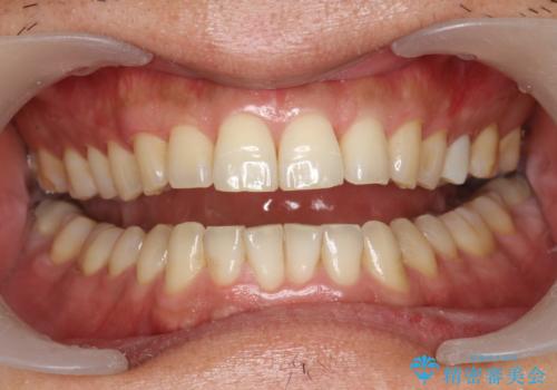
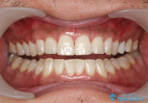
 - 奥歯のセラミックと色を合わせるためにホワイトニング希望された方です。
オフィスホワイトニング(エクセレントコース)で施術しました。
 
- 費用(概算)
 - 29,700円(税込)費用は治療当時の料金となります
 
治療について
オフィスホワイトニング(エクセレントコース)
日本製のホワイトニングジェルを使用。
高濃度ホワイトニングジェルのため短期間でのホワイトニングに適したコースです。
施術期間 1日
   ご希望あれば1週間後以降から同じコースのホワイトニング可能
担当歯科衛生士
六本木河野歯科クリニック DH椎名
ホワイトニングの注意事項(リスク・副作用など)
- 知覚過敏が出ることがあります
 - ホワイトバンドや白い斑点が出ることがあります
 - クラウンやインレー等の補綴物には効果がありません
 - ホワイトニングによる効果や持続期間には個人差があります
 - 歯牙の状態によっては適応できないことがあります
 - 保険適用外となります
 
当サイトの内容、テキスト、画像等の無断転載、複製、複写、盗用を固く禁じます。

                      
                                                          
