症例詳細
Case detail
ホワイトニングで歯を白く!
治療症例の内容
- 診療科目
- 治療カテゴリ
- 患者様
- 30代男性
- 治療期間
- 1日
- 治療回数
- 1回
- 治療計画
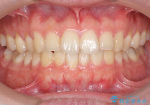
- ご自身の歯の色を、ホワイトニングで白くしたいと、来院されました。
一日で効果がでる医院で行うオフィスホワイトニング(エクセレント)をおすすめしました。
- 費用(概算)
- 33,000円(術前クリーニング付)税込費用は治療当時の料金となります
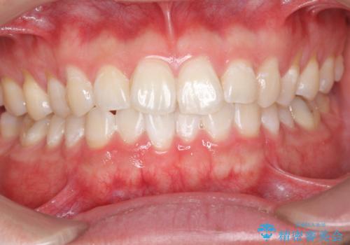
オフィスホワイトニング(エクセレント)
口元が明るくなり、清潔感のある爽やかな印象になり、満足していただけました。
担当歯科衛生士
横浜桜木町歯科 進藤
ホワイトニングの注意事項(リスク・副作用など)
- 知覚過敏が出ることがあります
- ホワイトバンドや白い斑点が出ることがあります
- クラウンやインレー等の補綴物には効果がありません
- ホワイトニングによる効果や持続期間には個人差があります
- 歯牙の状態によっては適応できないことがあります
- 保険適用外となります
当サイトの内容、テキスト、画像等の無断転載、複製、複写、盗用を固く禁じます。


