症例詳細
Case detail
- 患者様
 - 50代男性
 
- 治療期間
 - 1ヶ月
 
- 治療回数
 - 2-5回
 
- 治療計画
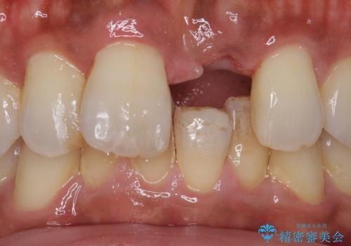
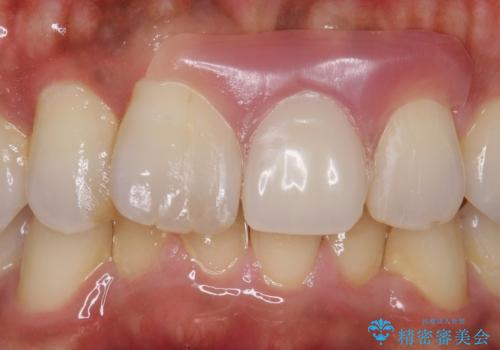
 - 抜歯になった前歯を入れ歯で治療した症例です。
前歯部なので金属の留め金を使わない、審美性に優れたノンクラスプデンチャーによる補綴を行いました。 
- 費用(概算)
 - ノンクラスプデンチャー…¥100,000費用は治療当時の料金となります
 
ノンクラスプデンチャーについて
ノンクラスプデンチャーは従来の入れ歯と異なり金属の留め金を使用しないため、非常に審美性に優れた入れ歯です。
入れ歯の注意事項(リスク・副作用など)
- ブリッジやインプラントと比較して、色が合いづらい、見た目の違和感があります
 - ブリッジやインプラントと比較して、話しにくい、舌が当たる等の違和感があります
 - 慣れるまで微調整で何度か通って頂くことがあります
 - 就寝時や食後に毎回取り外して、清掃する必要があります
 - 自費診療(保険適用外)となります
 
当サイトの内容、テキスト、画像等の無断転載、複製、複写、盗用を固く禁じます。

                      
                                                          


